Lungenembolie
Abkürzung: LE, LAE, PAE
Synonyme: Lungenthrombembolie, Lungenarterienembolie, Pulmonalarterienthrombembolie
Englisch: pulmonary embolism
Definition
Als Lungenembolie bezeichnet man die Verlegung bzw. Verengung einer Lungenarterie oder einer Bronchialarterie durch einen Embolus.
- ICD10-Code: I26
Ätiologie
Es gibt verschiedene Formen der Lungenembolie, die sich durch die Art und Herkunft des eingeschwemmten Materials unterscheiden:
- Thrombembolie (Hauptursache)
- Septische Embolie
- Knochenmarksembolie
- Fettembolie
- Luftembolie
- Tumorembolie
- Embolie mit Fremdmaterial
In über 90 % der Fälle handelt es sich bei dem Embolus um einen abgelösten Thrombus aus dem Einzugsgebiet der Vena cava inferior. Meistens ist die Emboliequelle eine Phlebothrombose der Beinvenen. Selten entstammt der Embolus dem Einzugsgebiet der Vena cava superior, wobei zentrale Venenkatheter und Schrittmachersonden die Entstehung von Thrombosen begünstigen.
Risikofaktoren
Zu den Risikofaktoren einer Lungenembolie zählen u.a.:
- umfangreiche Operationen
- Frakturen größerer Knochen (Hüfte, Femur)
- Hüft-TEP
- Lungenerkrankung
- Kontrazeptivaeinnahme, Hormonersatztherapie
- maligne Tumore
- Schwangerschaft
- Gerinnungsstörungen
- Zigarettenrauchen
Die Lungenembolie ist eine Hauptursache für die Letalität nach Krankenhausaufenthalten, insbesondere nach chirurgischen Eingriffen mit Immobilisation. Bei entsprechender Prädisposition geht jede Form der Immobilisation, die zu einer verminderten Flussgeschwindigkeit des Blutes in den unteren Extremitäten führt, mit einem erhöhten Lungenembolierisiko einher, z.B. Bettlägerigkeit oder Langstreckenflüge (Economy-Class-Syndrom).
Einteilung
Nach dem zeitlichen Verlauf unterteilt man in:
- akute Lungenembolie
- chronische Lungenembolie
Schwere akute Verläufe werden als fulminante Lungenembolie bezeichnet. Sind nur sehr kleine Lungenarterien betroffen, spricht man von einer subsegmentalen Lungenembolie (SSPE).
Aus etwa jeder 100sten akuten Lungenembolie wird eine chronische Lungenembolie. Im Folgenden wird die akute Lungenembolie besprochen. Die Darstellung der chronischen Lungenembolie erfolgt in einem eigenen Artikel.
Pathophysiologie
Eine Lungenembolie führt zu einem Anstieg des pulmonalen Widerstandes und somit zu einer erhöhten Nachlast für das rechte Herz. Das Ventrikelseptum wird nach links verschoben, die linksventrikuläre Vorlast sinkt und es kommt zu einem Abfall des Herzzeitvolumens. Infolge der Totraumventilation mit reduzierter Oxygenierung des Blutes kommt es zu einer Myokardischämie, die zu einer akuten Dekompensation des rechten Herzens führen kann (Rechtsherzinsuffizienz).
Bei Verlegung kleiner Segmentarterien entstehen Lungeninfarkte, die sich infolge zu keilförmigen Infarktpneumonien entwickeln. Bei Verlegung größerer Lungenarterienäste ist ein Infarkt selten, da die Bronchialarterien in diesen Bereichen ausgleichend versorgen können.
Klinik
Die Lungenembolie wird sehr häufig nicht diagnostiziert. Die wichtigsten klinischen Zeichen sind Dyspnoe und Brustschmerz. Ferner können auftreten:
Die klinischen Zeichen eine Lungenembolie sind jedoch nicht immer in voller Ausprägung festzustellen.
Eine größere Lungenembolie folgt meist erst nach mehreren kleineren Lungenembolien. Kleine Lungenembolien sind klinisch dezent und führen in der Regel zu relativ unspezifischen Symptomen wie Schwindel, Tachykardie und Fieber (Infarktpneumonie !).
Schweregrade
| Grad I | Grad II | Grad III | Grad IV | |
|---|---|---|---|---|
| Klinik | Hämodynamisch stabil ohne RV-Dysfunktion | Hämodynamisch stabil mit RV-Dysfunktion | Schock, RRsyst. < 100 mmHg, Puls > 100/min | Reanimationspflicht |
| PA-Mitteldruck | Normal < 20 mmHg | Meistens normal | 25 - 30 mmHg | > 30 mmHg |
| Pa O2 | > 75 mmHg | ev. ↓ | < 70 mmHg | < 60 mmHg |
| Gefäßobliteration | Periphere Äste | Segmentarterien | Ein PA-Ast oder mehrere Lappenarterien | Ein PA-Ast und mehrere Lappenarterien (PA-Stamm) |
| Letalität | gering | < 25 % | > 25 % | > 50 % |
Eine alternative Schweregradeinteilung ist die der European Society of Cardiology (ESC) von 2008. Sie klassifiziert die Lungenembolie anhand ihrer Frühsterblichkeit:
| niedrig (< 1 %) | mittel (3–15 %) | hoch (> 15 %) | |
|---|---|---|---|
| Schock oder Hypotonie | nein | nein | ja (-> Therapie) |
| RV-Dysfunktion | nein | nein/ja* | möglich |
| Troponin erhöht | nein | nein/ja* | möglich |
| Therapie | frühe Entlassung | stationäre Behandlung | Thrombolyse oder Embolektomie |
*mind. eines der beiden Kriterien
Diagnostik
Die Diagnostik bei Verdacht auf Lungenembolie ist abgestuft und abhängig von der Hämodynamik. Zunächst kann mit dem Wells-Score oder dem Geneva-Score und der Bestimmung des D-Dimer-Spiegels eine orientierende Diagnostik erfolgen. Bei der klinisch häufig vorkommenden Fragestellung einer postoperativen Lungenembolie sind die D-Dimere allerdings nicht verwertbar, da sie aufgrund der Wundheilung physiologisch für mehrere Wochen erhöht sind! Auch bei Tumorpatienten, Patienten mit schweren Infektionen und Schwangeren finden sich erhöhte D-Dimere, ohne das eine Thrombose bzw. Embolie vorliegt.
In der arteriellen Blutgasanalyse zeigen sich verminderte Partialdrücke für Sauerstoff und auf Grund einer kompensatorischen Hyperventilation meist auch für Kohlendioxid. Somit kann eine respiratorische Alkalose ausgelöst werden.
Bildgebung
Ist nach den Voruntersuchungen eine Lungenembolie wahrscheinlich, sollte ein Embolusnachweis angestrebt werden. Die CT-Angiographie ist hierbei das Verfahren der 1. Wahl. Alternativ können eine MR-Angiographie, Lungenperfusionsszintigraphie oder eine Pulmonalisangiographie erfolgen.
Im Röntgen-Thorax können unspezifische Zeichen eines Lungeninfarkts festgestellt werden: In der Frühphase zeigen sich azinäre Verschattungen oder Konsolidierungen, die meist peripher lokalisiert und keilförmig konfiguriert sind. Später kommt es zu einem Volumenverlust im Sinne einer Adhäsionsatelektase. Aus der keilförmigen Verschattung wird im Verlauf eine rundliche, pleuraständige, homogene Verdichtung (Hampton hump). Weitere unspezifische Zeichen der Lungenembolie sind:
- Prominente zentrale Pulmonalarterien mit Kalibersprung und/oder Westermark-Zeichen (lokale Transparenzerhöhung)
- einseitige Pleuritis bzw. Pleuraerguss
- Vergrößerung des rechten Ventrikels
- rundliche homogene Verschattung ggf. mit Zeichen der Einschmelzung und Lufteinschlüsse bei Superinfektion eines Lungeninfarkts
In der Echokardiographie kann eventuell eine Rechtsherzbelastung dargestellt werden ("D-Zeichen").
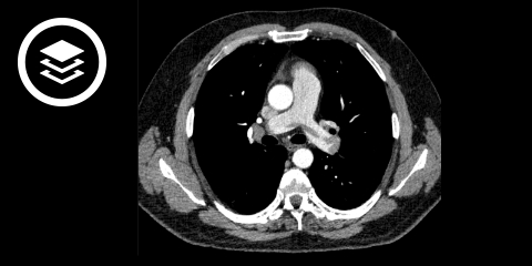
CT-Fallbeispiel
EKG
Ergänzende Befunde sind im EKG zu erheben. Im EKG können ein Rechtstyp, die SI/QIII-Konfiguration, ein P-pulmonale, T-Negativierungen in V1-3 und/oder ein (neu aufgetretener) Rechtsschenkelblock vorliegen. Die Sensitivität und Spezifität sind hierbei jedoch gering. Als unspezifisches EKG-Zeichen kann ebenso das McGinn-White-Syndrom herangezogen werden, das die SI/QIII-Konfiguration beinhaltet.
Differentialdiagnosen
- Akute Dyspnoe: Lungenödem, Asthmaanfall, Spontanpneumothorax, Anaphylaxie, psychogene Hyperventilation u.a.
- Thorakale Schmerzen: Herzinfarkt, Angina pectoris, Perikarditis, Pleuritis, Aortendissektion
- Oberbauchschmerzen: Gallenkolik, Ulkusperforation, Pankreatitis, Hinterwandinfarkt u.a.
- Kollaps/ Schock: DD eines unklaren Schocks
- Hämoptoe: Blutung aus Nasen-Rachenraum, Ösophagus, Magen, Bronchialbaum/ Lunge
- Lungeninfarkt, Pneumonie
| Lungenembolie | Herzinfarkt | |
|---|---|---|
| Anamnese | Längere Bettruhe (z.B. postoperativ, Thrombose, Herzerkrankung) | Angina pectoris, bekannte KHK |
| Beginn | Schlagartig | Allmählich |
| Schmerz | Inspiratorisch verstärkter pleuritischer Schmerz | Atemunabhängiger Schmerz mit Ausstrahlung (Schulter, Arm, Hals, Oberbauch) |
| Dyspnoe | Schlagartig, intensiv | Leicht |
| Labor | Troponin I/T positiv und BNP ↑ bei schwerer LE | CK-MB ↑ und Troponin I/T positiv |
| EKG | SIQIII-Typ, T-Inversionen, gelegentlich Bild ähnlich wie bei Hinterwandinfarkt | Meist Infarkttypische EKG-Veränderungen |
| Echo | Rechtsventrikuläre Dysfunktion bei schwerer LE | Hypo- oder akinetische Infarktareale (meist linksventrikulär) |
Therapie
Übersicht
Die Therapie einer Lungenembolie richtet sich nach dem Schweregrad. Bei einer schweren Lungenembolie mit Hypotonie, Schocksymptomen, stark erhöhtem Pulmonalarteriendruck und deutlich vermindertem Sauerstoffpartialdruck muss zusätzlich zu einer Antikoagulation eine Reperfusionstherapie angestrebt werden.
Allgemeine Maßnahmen sind:
- halbsitzende Lagerung
- Sauerstoffgabe über eine Nasensonde (6l/min) unter Monitoring mittels Pulsoxymetrie
- Analgosedierung (z.B. Morphin, Diazepam)
Zur Messung des ZVD und des Wedge-Druckes sollte nach Möglichkeit ein zentralvenöser Katheter gelegt werden.
Antikoagulation
Die Antikoagulation teilt sich nach der aktuellen Leitlinie (Stand 2023) in drei Phasen auf:[1]
- Initialtherapie (meist 5-21 Tage)
- Erhaltungstherapie (mindestens 3 Monate)
- Sekundärprophylaxe (ggf. zeitlich unbefristet)
Initialtherapie
- Option 1: parenterale Therapie mit niedermolekularen Heparinen (NMH), unfraktionierten Heparinen (UFH) oder Fondaparinux (FDX), angepasst an das Körpergewicht
- Option 2: orale Therapie mit Apixaban (2 x 10 mg/d für 7 Tage) oder Rivaroxaban (2 x 15 mg/d für 21 Tage)
Das therapeutische Vorgehen wird dabei individuell an der hämodynamischen Stabilität der Patienten orientiert. Eine orale Initialtherapie wird für hämodynamisch stabile Patienten mit geringem Risiko empfohlen. Patienten, die ein hohes Risiko für eine hämodynamische Verschlechterung haben und ggf. eine Therapieeskalation bzw. Reperfusionstherapie brauchen, sollten eine parenterale Therapie erhalten.
Soll eine anschließende Erhaltungstherapie mit Dabigatran, Edoxaban oder Vitamin-K-Antagonisten (VKA) erfolgen, ist eine parenterale Initialtherapie erforderlich. Nach einer Therapiedauer von ≥ 5 Tagen wird dann auf Edoxaban oder Dabigatran umgestellt. Bei Antikoagulation mit VKA wird überlappend therapiert und die parenterale Antikoagulation beendet, sobald der INR-Zielbereich erreicht ist.
Erhaltungstherapie
Nach der Initialtherapie folgt regelhaft eine Erhaltungstherapie mit einer Dauer von mindestens 3 Monaten. Für diese werden vorzugsweise DOAKs in folgenden Dosierungen eingesetzt:
- Apixaban: 2 x 5 mg/d
- Rivaroxaban: 1 x 20 mg/d
- Dabigatran: 2 x 150 mg/d
- Edoxaban: 1 x 60 mg/d
Bestehen Kontraindikationen gegen DOAKs, kommt alternativ die traditionelle sequenzielle Therapie mit NMH oder Fondaparinux, gefolgt von Vitamin-K-Antagonisten, in Frage. Letztere werden nach INR-Ziel individuell dosiert.
Hinweis: Diese Dosierungsangaben können Fehler enthalten. Ausschlaggebend ist die Dosierungsempfehlung in der Herstellerinformation.
Reperfusion
Zur Reperfusion kann bei schwerer Lungenembolie eine Fibrinolyse mit rt-PA erfolgen. Alternative Verfahren sind die Thrombolyse mittels Rechtsherzkatheter oder die chirurgische Embolektomie.
Quiz
Bildquelle
- Bildquelle für Flexikon-Quiz: © Jens Herrndorff / Unsplash
- Bildquelle DICOM-Viewer: Datensatz freundlicherweise zur Verfügung gestellt durch die Klinik für diagnostische und interventionelle Radiologie, St. Vinzenz Hospital Köln
Quellen
- ↑ S2k-Leitlinie: Diagnostik und Therapie der Venenthrombose und Lungenembolie. AWMF-Register Nr. 065/002 065/002 Klasse: S2k vom 14.2.2023, abgerufen am 22.3.2023
Literatur
- Fandler M, Böhm L. Lungenembolie – Diagnostik und Therapie. Notaufnahme up2date 2023; 05(03): 214-217