Pleuraerguss
Englisch: pleural effusion
Definition
Ein Pleuraerguss ist eine pathologische Zunahme der Flüssigkeit zwischen den Blättern der Pleura. Bei dieser Flüssigkeit kann es sich um ein seröses Transsudat, Exsudat, Lymphe, Blut, Eiter oder eine Mischung dieser Bestandteile handeln.
Ätiologie
Ein Pleuraerguss sollte stets diagnostisch abgeklärt werden. Mögliche Ursachen sind:
- Infektionen
- Pleuritis exsudativa
- Bakterielle Infekte (Tuberkulose, Bartonellose, Mykoplasmose)
- Virusinfekte (incl. HIV)
- Infektionen mit anderen Erregern (Pilze, Parasiten)
- Pneumonie (parapneumonischer Erguss)
- Pleuritis exsudativa
- Kardiologische Erkrankungen
- Vaskuläre Ursachen
- Maligne Tumoren
- Hypoalbuminämie bzw. Hypoproteinämie
- Umgebungsprozesse
- Autoimmunerkrankungen, teilweise mit generalisierter Entzündung seröser Häute (Perikarditis, Peritonitis)
- Rheumatoide Arthritis (RA)
- Systemischer Lupus erythematodes (SLE)
- Granulomatose mit Polyangiitis (Morbus Wegener)
- Langerhanszell-Histiozytose (LCH)
- Sjögren-Syndrom
- Systemische Sklerose (SSc)
- Amyloidose
- Sarkoidose
- Stoffwechselerkrankungen
- Niereninsuffizienz (Urämie)
- Traumata
- Medikamente (u.a. Amiodaron, Betablocker, Bromocriptin, Clozapin, Dantrolen, Enasidenib, Methotrexat, Methysergid, Nitrofurantoin, Phenytoin, Ponatinib oder Procarbazin)
- Iatrogene Ursachen
- Weitere Ursachen
Wichtig ist hierbei die Unterscheidung des einseitigen vom beidseitigen Pleuraerguss. Während der einseitige Pleuraerguss eher ein Hinweis für ein Malignom oder eine Entzündung ist, haben beidseitige Pleuraergüsse eher eine systemische Ursache.
Sonderformen
Besondere Formen des Pleuraergusses sind:
- Serothorax
- Hydrothorax
- Hämatothorax
- Chylothorax
- Pseudochylothorax
- maligner Pleuraerguss
- paramaligner Pleuraerguss
Als Komplikation eines Pleuraergusses kann es zur Ausbildung eines Pleuraempyems kommen.
Pathophysiologie
Entsteht ein Pleuraerguss als Transsudat, liegt entweder ein erhöhter hydrostatischer Druck (z.B. bei dekompensierter Herzinsuffizienz oder Lungenembolie) oder ein erniedrigter kolloidosmotischer Druck vor (z.B. bei Leberzirrhose, Urämie oder exsudativer Enteropathie).
Die Verteilung des Pleuraergusses im Pleuraspalt wird im Wesentlichen durch 3 Kräfte beeinflusst:
- Schwerkraft
- Kapillarkraft
- Retraktionskraft der Lunge
Bei einem beginnenden Erguss sammelt sich - beim stehenden Patienten - die Flüssigkeit zunächst zwischen der Unterseite der Lunge und dem Zwerchfell. Nimmt die Ergussmenge zu, bildet sich infolge der Kapillarkräfte im Pleuraspalt eine Flüssigkeitssichel aus, die nach oben weist. Dabei steigt der Erguss lateral weiter nach oben als medial, da lateral die Rückstellkräfte des Lungengewebes stärker zum Tragen kommen.
Symptomatik
Ein sich schnell entwickelnder Pleuraerguss führt regelmäßig zur Dyspnoe, bei langsamer Entwicklung des Ergusses kann die Dyspnoe jedoch auch erst spät auftreten, wenn bereits größere Flüssigkeitsmengen in den Pleuraspalt ausgetreten sind.
Diagnostik
Körperliche Untersuchung
Bei der körperlichen Untersuchung kann im Rahmen der Perkussion eine basal betonte Klopfschalldämpfung bestehen. Bei der Auskultation betroffener Areale besteht ein abgeschwächtes Atemgeräusch.
Radiologie
Im Pleuraspalt sind normalerweise ca. 15 ml Flüssigkeit vorhanden. Der Nachweis kleinster Flüssigkeitsmengen gelingt durch die Sonographie. Im Röntgen-Thorax lässt sich ein Pleuraerguss ab ca. 150 ml (Seitbild) bzw. ab 200-500 ml (p.a.-Projektion) nachweisen. In Liegendaufnahmen (a.p.-Projektion) ist der Erguss in der Regel erst ab einer Flüssigkeitsmenge von ca. 500-1000 ml nachweisbar. In Zweifelsfällen kann eine Aufnahme in Seitenlage erfolgen, hierbei breitet sich der Erguss entlang der lateralen Thoraxwand aus.
Ein Pleuraerguss erscheint im Röntgen-Thorax als homogene Transparenzminderung (Verschattung) mit charakteristischer Damoiseau-Ellis-Linie im Bereich des Recessus costodiaphragmaticus. Das Zwerchfell ist nicht oder nur eingeschränkt abgrenzbar. Große Pleuraergüsse führen zu angrenzenden Kompressionsatelektasen und/oder zu einer Mediastinalverlagerung nach kontralateral. Durch Lageänderung des Patienten verändert sich auch die Lokalisation der Verschattung.
Neben der Verschattung der lateralen oder dorsalen Zwerchfellrippenwinkel kann ein Pleuraerguss auch zu einer spindelförmigen Verschattung im Bereich der Lungenfissuren (Fissura horizontalis und obliqua) führen (Interlobärerguss). Dabei handelt es sich meist um einen "gefangenen Erguss": Narbige Verklebungen zwischen den Pleurablättern nach einer Pleuritis verhindern das freie Auslaufen des Pleuraergusses, sodass dieser im Lappenspalt gefangen ist. Dadurch kann das Bild eines Tumors vorgetäuscht werden, der aber mit der Zeit verschwindet ("vanishing tumor").
Weitere radiologische Sonderformen sind:
- subpulmonaler Pleuraerguss: Die Lunge "schwimmt" auf dem Erguss, der einen Zwerchfellhochstand vortäuscht.
- Mantelerguss: Der Erguss umgibt die Lunge mantelförmig.
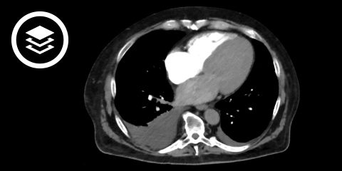
CT-Fallbeispiel
DICOM-Modelle können auf Mobilgeräten leider nicht angezeigt werden.
Labor
Die weitere Abklärung erfordert eine Pleurapunktion mit Aspiration von Ergussflüssigkeit. Die laborchemische Untersuchung der gewonnenen Flüssigkeit erlaubt Rückschlüsse auf die Ätiologie:
- Bei einem Transsudat liegt der Eiweißgehalt unter 30 g/l, der Quotient aus Proteinkonzentration im Erguss und Proteinkonzentration im Serum (PErguss / PSerum)ist kleiner als 0,5. Ein Transsudat weist auf eine dekompensierte Linksherzinsuffizienz oder eine Hypoalbuminämie als Ursache hin.
- Bei einem Exsudat liegt der Eiweißgehalt über 30 g/l. Der Quotient PErguss / PSerum ist größer 0,5, der Quotient LDHErguss / LDHSerum ist größer 0,6, die LDH-Aktivität ist > 200 U/l. Die Gesamtzellzahl ist > 1000/µl. Die Integrität der Pleura ist hierbei durch ein Malignom oder eine Entzündung gestört.
Das Vorliegen eines Exsudats erlaubt allerdings keinen direkten Rückschluss auf die Ätiologie, die laborchemische Diagnostik des Exsudats muss erweitert werden.
Aus einem Exsudat werden bestimmt:
- pH-Wert
- Glukose
- Triglyzeride
- Amylase
- Hämatokrit
- Differentialblutbild
- Zellen (maligne Zellen?)
- mikrobiologische Erregerdiagnostik (Antibiogramm)
Aus den Befunden ergibt sich:
- Eine erhöhte Anzahl von neutrophilen Granulozyten weist auf eine entzündliche Genese im Rahmen einer Pneumonie, aber auch bei Tuberkulose oder Lungenembolie hin.
- Eine erhöhte Anzahl von Zellen des mononukleären Phagozytensystems (MPS) kann ein Hinweis auf eine maligne Neoplasie sein, jedoch auch bei Tuberkulose, viraler Pleuritis oder Lungenembolie vorliegen.
- Ein erhöhter Gehalt an Amylase spricht für eine akute Pankreatitis als Ursache, kann aber auch auf eine maligne Neoplasie oder Perforation des Ösophagus deuten.
Für einen sogenannten komplizierten Erguss mit einer erhöhten Rate an Verklebungen und längerer Heilungsdauer spricht die Befundkonstellation aus:
- LDH > 1000 IU/Liter
- pH < 7
- Glukose < 35 mg/dl
Zur Differentialdiagnose eines Ergusses durch Tuberkulose von anderen Formen eignet sich die Bestimmung der Adenosin-Desaminase. Ist dieser Wert erhöht, liegt dem Pleuraerguss mit sehr hoher Wahrscheinlichkeit eine Tuberkulose zugrunde.
Klinische Begutachtung der Ergussflüssigkeit
Eine orientierende Einordnung erlaubt die Begutachtung der Ergussflüssigkeit durch den entnehmenden Arzt:
- Klare, dickflüssige Flüssigkeit spricht in der Regel am ehesten für Pneumonie, Neoplasie oder Tuberkulose als Ursache
- Blutig verfärbte Flüssigkeit (bereits bei kleinsten Mengen Blut) spricht für ein Bronchialkarzinom oder eine Lungenembolie. Jedoch kann auch eine Verletzung kleinerer Blutgefäße bei der Punktion zu einer Kontamination der Flüssigkeit mit Blut führen.
- Eitriges Sekret spricht für eine fortgeschrittene entzündliche Genese, häufig bereits für ein Pleuraempyem
- Milchige Flüssigkeit ist im Sinne eines Chylothorax bzw. Pseudochylothorax zu verstehen.
Weitere Diagnostik
Je nach Verdachtsmoment aus der Untersuchung der Ergussflüssigkeit sollten weitere Untersuchungen im Sinne der möglichen Grunderkrankung durchgeführt werden.
Ist eine ätiologische Zuordnung nach Ausschöpfen der Maßnahmen nicht möglich, kann eine Pleurabiopsie oder auch Thorakoskopie indiziert sein.
Therapie
Die Therapie eines Pleuraergusses ist symptomorientiert. Eine Thoraxdrainage ist bei Dyspnoe oder komplizierten Verläufen ratsam und notwendig.
Kleinere, asymptomatische Pleuraergüsse müssen nicht unbedingt drainiert werden. Wichtig ist es in jedem Fall aber die auslösende Ursache zu ermitteln und möglichst zu beseitigen.