Aortendissektion
Englisch: aortic dissection
Definition
Die Aortendissektion ist eine Aufspaltung (Dissektion) der Wandschichten der Aorta, wobei Blut durch einen Riss oder ein penetrierendes Ulkus in der Intima in die mittlere Schicht der Aortenwand (Media) eindringt. Dort dehnt es sich in Längsrichtung aus und bildet ein zweites, blutgefülltes, "falsches" Lumen.
- ICD10-Code: I71.0-
Hintergrund
Die akute Aortendissektion (AAD) ist die häufigste Ursache eines akuten Aortensyndroms (AAS). Erweitert sich der Gefäßdurchmesser, spricht man auch von einem Aneurysma dissecans. In der Regel ist die thorakale Aorta betroffen.
Terminologie
Mit der Beschreibung von Varianten der Aortendissektion etabliert sich klinisch zunehmend der Begriff des akuten Aortensyndroms. Dazu zählen auch Intimaeinriss mit diskreter Aussackung, das penetrierende Aortenulkus (PAU) und das intramurale Hämatom der Aorta (IMH).
Einteilung
...nach Morphologie
- kommunizierend: das falsche Lumen kommuniziert mit dem wahren Lumen (klassische Aortendissektion)
- antegrade Ausdehnung
- retrograde Ausdehnung
- nicht-kommunizierend: kein oder kaum nachweisbares Entry und fehlendes Reentry (eigentlich intramurales Hämatom)
...nach zeitlichem Verlauf
Nach zeitlichem Verlauf wird die Aortendissektion willkürlich eingeteilt in:
- akut: innerhalb von 14 Tagen nach Auftreten der ersten Symptome
- subakut: 14 Tage bis 3 Monate
- chronisch: über 3 Monate
Teilweise wird eine Aortendissektion bereits ab zwei Wochen als chronisch bezeichnet.
...nach DeBakey
Nach DeBakey werden drei Typen unterschieden:
- Typ I: Einriss der Intima im Bereich der Aorta ascendens, Ausbreitung nach distal unter Einbezug der Aorta descendens.
- Typ II: Einriss der Intima im Bereich der Aorta ascendens, Wiedereintritt der Wühlblutung in das Hauptlumen im Bereich der Aorta ascendens.
- Typ III: Einriss der Intima im Bereich der Aorta descendens, d.h. nach Abgang der linken Arteria subclavia.
...nach Stanford
Im klinischen Alltag hat sich die Stanford-Klassifikation zunehmend durchgesetzt. Sie unterteilt die Aortendissektionen nach der am weitesten proximalen Beteiligung unabhängig von der Lokalisation des Intimarisses:
- Typ A: jeder Abschnitt der Aorta proximal des Ursprungs der linken Arteria subclavia
- Typ B: distal des Ursprungs der linken Arteria subclavia
Europäische Konsensusdefinition
Unklar ist die Zuordnung von Dissektionen, die den Aortenbogen und nicht die Aorta ascendens betreffen. Die europäische Konsensusdefinition 2018 unterscheidet zwischen drei Typen:[1]
- Typ A: proximale Ausdehnung in die Aorta ascendens
- Non-A-non-B-Dissektion: retrograde Ausdehnung oder proximaler Riss im Aortenbogen zwischen Truncus brachiocephalicus und linker Arteria subclavia
- Typ B: proximale Ausdehnung in der Aorta descendens distal der linken Arteria subclavia
Amerikanische Konsensusdefinition
Die amerikanische Konsensusdefinition 2020 unterscheidet Stanford-A und -B je nach Lage des Intimarisses:[2]
- Typ A: Dissektion mit Riss in der Aorta ascendens einschließlich des Abschnitts mit dem Abgang des Truncus brachiocephalicus
- Typ B: Dissektionen mit proximalem Intimariss distal des Abgangs des Truncus brachiocephalicus
SVS-Modifikation
Gemäß der Society for Vascular Sugery (SVS) wird die Einteilung der amerikanischen Konsensusdefinition weiter spezifiziert, indem die distale und ggf. die proximale Ausdehnung als Indexzahl angegeben wird. Dabei werden die Aorta und ihre Aufzweigungen anhand der Ishimaru-Klassifikation in 12 Abschnitte unterteilt.[3]
- Typ A: distale Ausdehnung (0 bis 12)
- Typ B: proximale Ausdehnung (0 bis 12) und distale Ausdehnung (0 bis 12)
- Typ I: Entry nicht eindeutig identifizierbar, distale Ausdehnung (0 bis 12)
Eine Aortendissektion Typ B09 bezeichnet somit eine Dissektion mit Entry distal des Abgangs des Truncus brachiocephalicus mit proximaler Ausdehnung in die Aorta ascendens und distaler Ausdehnung bis in die infrarenale Aorta.
...nach DISSECT
Ein weiteres Klassifizierungssystem mit dem Akronym DISSECT basiert auf:[4]
- duration (Dauer)
- intimal tear (Intimariss)
- size of the dissected aorta (Größe der dissezierten Aorta)
- segmental extent of involvement (segmentales Ausmaß der Beteiligung)
- clinical complications (klinische Komplikationen)
- thrombosis of the false lumen (Thrombose des falschen Lumens)
...nach TEM
Die TEM-Klassifikation beschreibt Aortendissektionen nach folgendem Schema:[5]
- Typ: A, B, Non-A-Non-B
- Entry: Zone 0 bis 3 nach Ishimaru
- Malperfusion:
- M0: keine Malperfusion
- M1: koronare Malperfusion
- M2: supraaortale Malperfusion
- M3: spinale, viszerale oder iliakale Malperfusion
- (-) keine Symptome
- (+) Symptome
Epidemiologie
75 % der Aortendissektionen betreffen Patienten zwischen dem 40. und 70. Lebensjahr mit dem Gipfel zwischen dem 50. und 65. Lebensjahr. Männer sind dreimal häufiger betroffen.
Ätiopathogenese
Die meisten Dissektionen entstehen bei älteren Patienten mit langjähriger arterieller Hypertonie. In wenigen Fällen liegt eine hereditäre Bindegewebserkrankung (Marfan-Syndrom, Ehlers-Danlos-Syndrom, Loeys-Dietz-Syndrom) als Ursache vor. Die pathogenetische Grundlage der Aortendissektion ist sowohl beim Bluthochdruck als auch bei den hereditären Bindegewebserkrankungen die Mediadegeneration.
Weitere Ursachen sind:
- Atherosklerose: neben der Mediadegeneration kann ein penetrierendes Ulkus vorliegen
- Vaskulitis: inflammatorische Veränderungen der Gefäßwand
- bikuspide Aortenklappe
- Aortenisthmusstenose
- Turner-Syndrom
- Schwangerschaft: unklare Pathogenese
- Iatrogene Ursachen
- Interventionen am Herzen oder an der Aorta, z.B. PTCA, intraaortale Ballonpumpe
- Koronarangiographie[6]
- Medikamente: Ciprofloxacin und möglicherweise weitere Fluorchinolone scheinen den Verlust der Integrität der Extrazellularmatrix zu fördern.
- Trauma: Sprung aus großer Höhe mit Riss des Ligamentum arteriosum
Pathophysiologie
Durch eine als "entry" bezeichnete Öffnung der Intima wird Blut zwischen Intima und Adventitia gespült, wo es sich in Längsrichtung des Gefäßes in der Media weiter ausdehnt und ein falsches Lumen schafft. Die Ausdehnung der Dissektion hängt einerseits vom Blutdruck und andererseits von der Widerstandsfähigkeit der Media ab. Sie kann von wenigen Millimetern bis hin zu mehreren Zentimetern betragen. Im Extremfall ist die gesamte Länge der Aorta betroffen, wobei die direkt abzweigenden Arterien einbezogen sein können. Aufgrund des reduzierten distalen Abflusses weist das falsche Lumen einen höheren, weniger pulsierenden Druck auf. Durch die Kompression ist das echte Lumen häufig kleiner als das falsche.
5 bis 10 % der Aortendissektionen entstehen ohne Intimariss. In diesem Fall scheint eine Ruptur der Vasa vasorum ursächlich zu sein, wobei ein intramurales Hämatom entsteht. Als Entry kann weiterhin ein PAU dienen.
Komplikationen sind:
- Dissektion und Okklusion von Gefäßästen:
- Ischämie von abdominellen Organen wie Niere, Darm, Milz: am häufigsten ist die linke Niere betroffen
- Ischämien der Extremitäten
- Ischämischer Schlaganfall
- Spinale Ischämie
- Distale Thrombembolien: z.B. embolischer Schlaganfall
- Aneurysmatische Dilatation (Aneurysma dissecans)
- Aortenruptur
Bei Stanford-A-Dissektionen sind weitere Komplikationen möglich:
- Okklusion der Koronararterien: insbesondere der rechten Koronararterie (RCA)
- Aortenklappeninsuffizienz
- Perikardruptur mit Hämoperikard und Perikardtamponade
Bei Stanford-B-Dissektionen kann sich das falsche Lumen auflösen, teilweise oder vollständig thrombosieren, stabil bleiben oder in kaudokranialer Richtung fortschreiten.
Klinik
Die akute Aortendissektion wird bei Einriss der Intima symptomatisch. Typisch sind plötzlich auftretende, reißende Brustschmerzen. Schmerzen im vorderen Brustkorb, Hals oder Kiefer weisen auf eine Beteiligung der Aorta ascendens hin, während Schmerzen im Rücken und im Bauch eine Beteiligung der Aorta descendens vermuten lassen.
Die meisten Patienten sind hypertensiv. Bei Beteiligung der Aortenwurzel oder Aorta ascendens kann es auch zu Hypotonie, Tachykardie, Herzinsuffizienz und Schock kommen. Je nach Lokalisation der Aortendissektion kann bei der klinischen Untersuchung eine Blutdruckdifferenz zwischen beiden Armen von > 20 mmHg auffallen.
Durch eine Beteiligung der Gefäßabgänge kann in der Folge eine Ischämie betroffener Gebiete auftreten. In bis zu 20 % der Fälle finden sich neurologische Ausfälle. Möglich sind unter anderem:
- Schlaganfall (Abscherung der Arteria carotis communis)
- Anurie und akutes Nierenversagen (Abscherung der Arteria renalis)
- Querschnittslähmung (Abscherung der Arteria radicularis magna)
- Ischämie der Extremitäten
Bei proximalen Formen mit Beteiligung der Aortenklappe kann eine Aortenklappeninsuffizienz vorkommen. Dabei fällt ggf. ein neu auftretendes Diastolikum auf. Des Weiteren können die Koronararterien betroffen sein. Dies zeigt sich unter anderem durch EKG-Veränderungen ähnlich wie bei einem STEMI.
In einigen Fällen führt die Aortendissektion zu einer Aortenruptur, die oft tödlich endet. Reicht die Ruptur in den Perikardraum, kommt es zu einem Hämatoperikard bis hin zur Perikardtamponade. Dies setzt einen Einbezug der Aorta ascendens bis maximal zur Höhe des Truncus brachiocephalicus voraus. Unbehandelt resultiert die akute Aortendissektion in etwa der Hälfte der Fälle im Tod binnen 48 Stunden.
Eine chronische Aortendissektion kann asymptomatisch sein, sodass eine abwartende Haltung unter Umständen gerechtfertigt ist.
Histologie
Diagnostik
Risikostratifizierung
Der Aortic Dissection Detection Risk Score (ADD-RS) dient der Risikostratifizierung einer akuten Aortendissektion.[7] Zusammen mit negativen D-Dimeren kann der ADD-RS helfen, unnötige Untersuchungen zu vermeiden.[8] Als möglicher biochemischer Marker eignen sich erhöhte Blutwerte von MYH11.[9]
Bildgebung
Die Aortendissektion wird durch bildgebende Verfahren diagnostiziert. Die Computertomographie (CT) mit CT-Angiographie (CTA) ist die Methode der Wahl.
Computertomographie
Die CT mit CTA dient der Diagnose und Klassifikation einer Aortendissektion sowie der Feststellung von Komplikationen. Sie weist eine Sensitivität und Spezifität von nahezu 100 % auf. Da sich eine thorakale Aortendissektion distal in die Aorta abdominalis und in die Beckenarterien ausdehnen kann, wird in der Regel nicht nur der Thorax, sondern auch das Abdomen und die Beckenregion erfasst. Weiterhin ist meist ein Mehrphasen-CT indiziert, idealerweise mit EKG-getriggertem kardialem Gating zur Eliminierung von Pulsationsartefakten (siehe: akutes Aortensyndrom).
In der nativen CT sind häufig ein akuter intramuraler oder periaortaler Thrombus mit hoher Dichte sowie nach intraluminal verlagerte atherosklerotische Intima-Verkalkungen erkennbar. Befunde in der CTA sind:
- Intimaflap (eigentlich "intimomedialer Flap")
- Doppeltes Lumen
- Dilatation der Aorta durch Aorteninsuffizienz
- Mercedes-Benz-Zeichen: drei Intimaflaps mit zwei falschen Lumina (dreiflügelige Aortendissektion). Ursächlich ist vermutlich eine sekundäre Dissektion in der Wand des falschen Lumens.
- Windsack-Zeichen bei Typ A ("windsock sign"): vollständige Dissektion der Intima mit zirkumferentiellem Intimaflap führt zu intimointimaler Intussuszeption zwischen echtem und falschem Lumen. Die wechselnde Kontrastierung zwischen den sich nach distal verjüngenden Dissektionslumina ähnelt einem Windsack.
- aortales intramurales Hämatom als Variante (siehe Abschnitt Terminologie)
Chronische Dissektionsmembranen sind meist dicker und gerader als bei akuten Dissektionen.
Entscheidend ist die Unterscheidung zwischen wahrem und falschem Lumen. Hilfreich ist die Fortsetzung des wahren Lumens in eine normalen Arterie. Weitere Merkmale des echten Lumens sind:
- oft kleiner als das falsche Lumen (Ausnahme: seltene frühe Thrombose des falschen Lumens)
- Verkalkungen in der Außenwand
- oft angrenzend an die Aortenwurzel
- Truncus coeliacus, Arteria mesenterica superior (AMS) und die rechte Arteria renalis entspringen meist dem wahren Lumen
Das falsche Lumen ist oft größer und weist aufgrund der verzögerten Kontrastierung eine geringere Dichte auf. Typische Lokalisationen sind:
- rechts anterolateral der Aorta ascendens
- links posterolateral der Aorta descendens
Weitere Merkmale des falschen Lumens sind:
- Schnabel-Zeichen ("beak sign"): Im axialen Bild zeigt sich ein spitzer Winkel am Rand des falschen Lumens, gebildet von den Grenzen der äußeren Aortenwand und dem Intimalappen. Durch Thrombosierung kann der Winkel abstumpfen.
- Spinnweben-Zeichen ("cobweb sign"): das falsche Lumen durchquerende, dünne fadenförmige Füllungsdefekte aufgrund von residuellen Bänder der Media, die während des Dissektionsprozesses unvollständig abgeschert wurden.
- meist Ursprung der linken Nierenarterie
- umschließt das echte Lumen bei Stanford Typ A
- kann insbesondere bei chronischem Verlauf thrombosieren und nur als murale Dichteminderung erkennbar sein.
Bei Aortenruptur durch die Adventitia in das umgebende Mediastinum oder Abdomen zeigt sich ein Hämatom (40 bis 75 HU) neben der pathologischen Aortenläsion. Liegt eine Kontrastmittelextravasation in das Hämatom vor, ist eine sofortige Therapie notwendig. Weiterhin kann die Aorta in den Perikard- oder Pleuraraum rupturieren.
Der radiologische Befund sollte folgende Aspekte umfassen:
- proximale und distale Ausdehnung der Dissektion
- Lage des Intimarisses
- assoziierte andere Formen eines akuten Aortensyndroms
- Größe der Aorta (größte orthogonale Messung)
- Beteiligung der Aortenäste und Versorgung vom echten oder falschen Lumen
- Vorhandensein einer Thrombose im falschen Lumen
- Zeichen einer Organischämie oder eines Gefäßverschlusses
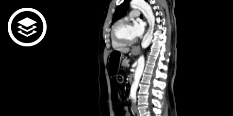
CT-Fallbeispiel
DICOM-Modelle können auf Mobilgeräten leider nicht angezeigt werden.
Konventionelles Röntgen
In 25 % der Fällen ist ein Röntgen-Thorax unauffällig. Suggestive, jedoch unspezifische Befunde sind:
- Mediastinalverbreiterung (> 8,0 bis 8,8 cm auf Höhe des Aortenknopfs in ap-Aufnahme)
- doppelte oder irregulär Kontur der Aorta
- Verkalkungen > 5 mm bis 1 cm vom Aortenrand entfernt ("ring sign")
- Zeichen eines periaortalen oder mediastinalen Hämatoms:
- Verschattung des Aortenknopfs (66 %)
- Veschattung des aortopulmonalen Fensters
- Mediastinalverlagerung: Trachea nach rechts, linker Hauptbronchus nach inferior
- Verbreiterung der paratrachealen Streifen
- Verschattung der linken Pleurakuppe ("apical cap")
Transösophageale Echokardiographie
Die transösophageale Echokardiographie (TEE) hat eine sehr hohe Sensitivität und Spezifität für die Beurteilung einer akuten Aortendissektion, ist jedoch weitgehend durch die CTA ersetzt.
Magnetresonanztomographie
Die MRT mit MR-Angiographie (MRA) wird insbesondere für Verlaufskontrollen verwendet. In der Akutdiagnostik kommen insbesondere bei eingeschränkter Nierenfunktion schnelle kontrastfreie Sequenzen (z.B. TrueFISP, FIESTA) zum Einsatz.
Digitale Subtraktionsangiographie
Die konventionelle digitale Subtraktionsangiographie (DSA) kommt vor endoluminalen Therapien zum Einsatz. Dabei muss das Risiko einer Katheterisierung des falschen Lumens und einer Aortenruptur berücksichtigt werden.
Prognostische Faktoren
Ein schlitzförmiger oder C-förmiger Kollaps des echten Lumens geht mit einer sehr schlechten Prognose aufgrund von konsekutiven Ischämien einher.
Folgende Faktoren sprechen für eine im Verlauf zunehmende Dilatation der Aorta:
- > 10 mm großer Intimariss in der Aorta descendens
- Aorta descendens > 35 mm
- falsches Lumen > 22 mm in der proximalen Aorta descendens
- falsches Lumen > 2/3 der gesamten Aorta descendens
- partiell thromobosiertes distales falsches Lumen
Volumetrische Veränderungen von 10 % sprechen für ein Remodeling. Prognostisch günstig ist eine > 10%ige Abnahme des falschen Lumens oder eine > 10%ige Zunahme des wahren Lumendurchmessers. Als ungünstiges Remodeling gelten umgekehrt eine Vergrößerung des falschen und eine Verkleinerung des echten Lumens. Ursächlich sind:[10]
- ahaltender Fluss des falschen Lumens
- nach Operation von Typ A: persistierender Intimariss im Aortenbogen, Leak der distalen Graft-Anastomose, Füllung über dissektierte Äste des Aortenbogens
- nach TEVAR: unvollständige Abdichtung der proximalen Landezone durch geschlängelte Aorta, Aortenbogenstumpf, supraaortaler Chimney-Graft
Differenzialdiagnosen
Klinisch ähnelt eine akute Aortendissektion einem akuten Koronarsyndrom (ACS) und einer Lungenarterienembolie (LAE). Auch eine Pneumonie sowie Morbus Bornholm müssen erwogen werden.
In der CT können bestimmte Entitäten eine Dissektion imitieren:
- Pseudodissektion durch Pulsationsartefakte, insbesondere im Bereich der linken anterioren und rechten posterioren Aorta ascendens
- Pseudodissektion durch Aufhärtungsartefakte durch das Kontrastmittel
- subsegmentale Atelektase: eine an die Aortenwand angrenzende Atelektase kann mit einem falschem Lumen verwechselt werden.
- intraluminaler bzw. muraler Thrombus bei Atherosklerose oder Aneurysma: an der luminalen Seite der verkalkten Intima
- intramurales Hämatom: Blutung innerhalb der Wand ohne Nachweis eines Intimarisses, eines Intimaflaps oder eines falschen Lumens.
- penetrierendes atherosklerotisches Ulkus: Perforation der Aortenwand im Bereich einer ulzerierten atherosklerotischen Plaque. Meist im Bereich der Aorta descendens. Kann zu einer Dissektion fortschreiten.
- minimale Aortenverletzung (MAI): im Rahmen eines Traumas
Therapie
Als Basistherapie stehen eine strikte Blutdruckeinstellung und eine suffiziente Schmerztherapie im Fokus. Zielwert ist ein systolischer Blutdruck von ca. 100 bis 120 mmHg. Eingesetzt werden meist Betablocker (z.B. Esmolol). Weiterhin werden Analgetika wie Opioide appliziert.
...bei Typ A
Bei akuten Aortendissektionen vom Typ A erfolgt eine notfallmäßige operative Therapie. Ziel der Operation ist es, den Eintrittspunkt (Entry) der Dissektion zu resezieren, das wahre Lumen zu rekonstruieren und die Integrität der Aortenklappe und der epiaortalen Gefäße zu erhalten oder wiederherzustellen.
Standard ist die offene chirurgische Versorgung mit Ersatz der Aorta ascendens. Bei isolierter Ascendens-Dissektion erfolgt ein suprakoronarer Aortenersatz mit einer Dacron-Gefäßprothese. Bei gleichzeitiger Beteiligung der Aortenwurzel oder bei präexistenter Aortenklappeninsuffizienz ist ein kompletter Wurzelersatz (z.B. Bentall-Prozedur) indiziert. Bei erhaltener Klappe und Bindegewebserkrankungen kann auch eine klappenerhaltende Wurzelrekonstruktion (z. B. David-I oder Yacoub-Technik) durchgeführt werden.
Komplexer ist das Management bei Dissektionsausdehnung über den Aortenbogen. In diesen Fällen wird abhängig von der Bogenbeteiligung zwischen Hemi- und Totalbogen-Ersatz entschieden. Beim Hemiarch-Ersatz wird nur der an die Aorta ascendens angrenzende Teil des Bogens reseziert, meist bis zur Mitte des Truncus brachiocephalicus oder zur Arteria carotis communis sinistra. Beim Totalbogenersatz hingegen erfolgt die Resektion und Rekonstruktion des gesamten Aortenbogens einschließlich aller supra-aortalen Gefäßabgänge bis zur distalen Bogenkrümmung vor Beginn der Aorta descendens. In diesem Kontext hat sich die Frozen Elephant Trunk-Technik (FET) etabliert, die eine Hybridprothese kombiniert: ein proximal offener Teil zur konventionellen Anastomose, sowie distal ein integrierter Stentgraft, der in die proximale Aorta descendens vorgeschoben wird. Diese Hybridprothesen ermöglichen sowohl die Stabilisierung der distalen Aorta als auch die Thrombosierung des falschen Lumens, reduzieren Reentry-Phänomene und erleichtern spätere endovaskuläre Erweiterungen
Für komplexe Rekonstruktionen des Aortenbogens kommen zunehmend multibranched Arch-Grafts zum Einsatz. Diese spezialgefertigten Prothesen verfügen über mehrere Seitenarme zur selektiven Reimplantation der supra-aortalen Gefäße. Sie erlauben eine präzise, anatomiegerechte Versorgung und reduzieren die Notwendigkeit zusätzlicher Debranching-Verfahren. In anatomisch schwierigen Konstellationen oder Reoperationen können Cross-over-Techniken erforderlich sein, beispielsweise die Umleitung der Arteria carotis communis sinistra auf die rechte Seite oder Bypass-Anlagen zur Arteria subclavia.
Alle diese Eingriffe erfolgen unter Hypothermie (moderat oder tief) mit zirkulatorischem Arrest und selektiver antegrader zerebraler Perfusion. Das neuroprotektive Management sowie die Perfusionstechniken (axilläre Kanülierung, bilateral antegrader Fluss) haben maßgeblichen Einfluss auf das perioperative Risiko.
Eine chronische Aortendissektion vom Typ Stanford A kann unter Monitoring überwacht und nach einiger Zeit unter geplanten Bedingungen operiert werden. Der operative Zugang, die Prothesenwahl und das Prinzip der Rekonstruktion entsprechen im Wesentlichen dem der akuten Form. Die Gewebestabilität ist in der Regel besser, die Operation technisch einfacher und das Risiko reduziert. Eine TEVAR kann in folgenden Fällen erwogen werden:
- Aorta descendens > 5,5 cm
- Wachstum > 5 mm in 6 Monaten
- therapierefraktäre Schmerzen
- drohende Aortenruptur
...bei Typ B
Die Therapie bei Stanfort-B-Dissektionen richtet sich primär nach dem klinischen Verlauf, der Morphologie der Dissektion sowie dem Vorliegen von Komplikationen. Bei unkomplizierten Typ-B-Dissektionen d.h. bei hämodynamisch stabilen Patienten ohne Organmalperfusion oder drohende Ruptur besteht die initiale Therapie in der konsequenten medikamentösen Kontrolle von Blutdruck und Herzfrequenz. Ein TEVAR ist bei unkomplizierten Verläufen primär nicht indiziert, kann aber im Verlauf erwogen werden, insbesondere bei:
- Aortendurchmesser > 40 mm im betroffenen Segment
- persistierender Perfusion des falschen Lumens
- hoher Wahrscheinlichkeit für Progredienz (z.B. durch Reentry in der Aorta descendens)
Liegt eine der folgenden Konstellationen vor, ist eine interventionelle Therapie indiziert:
- Malperfusion (viszeral, spinal, renal, iliakal)
- drohende oder manifeste Ruptur
- persistierender thorakaler Schmerz trotz adäquater medikamentöser Therapie
- progrediente Aortendilatation (> 5 mm innerhalb weniger Tage oder Durchmesser > 55 mm im akuten Verlauf)
In diesen Fällen ist die TEVAR bzw. EVAR das bevorzugte Verfahren. Ziel ist die Abdeckung des primären Entries in der proximalen Aorta descendens (häufig in Zone 3, distal der A. subclavia), um das wahre Lumen zu reexpandieren und das falsche Lumen zu thrombosieren. Die (T)EVAR hat die offene chirurgische Versorgung weitgehend verdrängt, da sie mit einer deutlich geringeren perioperativen Mortalität (ca. 10–12 % vs. 30–40 %) und Morbidität (z. B. Paraplegierate, Nierenversagen) verbunden ist. Bei fehlenden geeigneten Landezonen, bogennahem Entry sowie Aneurysma dissecans kommen zunehmend Hybridtechniken zum Einsatz, z.B. fenestrierte bzw. Branched-TEVAR-Systeme.
Bei chronischen Typ-B-Dissektionen erfolgt die Indikationsstellung elektiv. Etablierte Kriterien für eine Intervention sind z.B. ein Durchmesser > 55 mm (thorakal), eine dokumentierte Wachstumstendenz (>5 mm/Jahr), eine persistierende Perfusion des falschen Lumens mit Zeichen von Aneurysmaprogression oder symptomatische Verläufe. Auch hier ist (T)EVAR Methode der Wahl.
Prognose
Die Prognose einer Aortendissektion hängt in entscheidendem Maße vom Typ der Dissektion, dem Zeitpunkt der Diagnosestellung, dem therapeutischen Vorgehen sowie von Komplikationen wie Malperfusion, Ruptur oder neurologischen Defiziten ab.
Akute Typ-A-Dissektion
Die akute Typ-A-Aortendissektion gilt als kardiochirurgischer Notfall mit extrem hoher Letalität. Etwa 21 % der Patienten versterben bereits vor der Hospitalisierung. Ohne chirurgische Therapie liegt die Sterblichkeit innerhalb von 24 Stunden bei ca. 33 %, nach 48 Stunden bereits bei 50 %. Die 1-Jahres-Überlebensrate ohne Therapie beträgt < 10 %. Die Mortalität bei rein medikamentöser Behandlung beträgt bis zu 60 %. Durch die sofortige chirurgische Versorgung kann sie signifikant gesenkt werden – je nach Zentrum, Patientenselektion und präoperativem Zustand liegt sie bei 10–25 %. Die operative Mortalität ist am höchsten bei Patienten mit kardiogenem Schock, Perikardtamponade oder viszeraler Malperfusion. Perioperative Komplikationen umfassen insbesondere Schlaganfälle (4–8 %), Rückenmarksischämien (< 5 %) sowie Multiorganversagen bei protrahierter Perfusionsstörung. Das langfristige Überleben nach erfolgreicher chirurgischer Therapie hängt maßgeblich von der Aortenmorphologie, der Qualität des Remodellings und der Nachsorge ab. Fünfjahres-Überlebensraten von 70–80 % gelten als realistisch in spezialisierten Zentren.
Akute Typ-B-Dissektion
Die Prognose der akuten Typ-B-Dissektion ist grundsätzlich günstiger als bei Typ A. Bei rein medikamentöser Therapie beträgt die akute Mortalität etwa 10–15 %, bei chirurgischer oder interventioneller Therapie je nach Komplexität etwa 20–30 %. Unkomplizierte Verläufe, die rein konservativ behandelt werden, haben eine gute kurzfristige Prognose. Dennoch entwickeln ca. 20–40 % dieser Patienten im Langzeitverlauf aneurysmatische Veränderungen (Aneurysma dissecans) oder Remodelling-Versagen, die sekundäre Eingriffe notwendig machen. Komplizierte Typ-B-Dissektionen, z. B. mit Organmalperfusion, Rupturgefahr oder persistierenden Schmerzen, sind mit einer deutlich höheren Mortalität assoziiert. Die endovaskuläre Therapie mittels TEVAR ist in dieser Gruppe das Verfahren der Wahl und hat gegenüber offener Chirurgie eine geringere Mortalität (10–15 % vs. 30–40 %) und niedrigere Komplikationsraten. Langzeitdaten, u.a. aus der ADSORB-Studie, zeigen, dass TEVAR bei unkomplizierten Typ-B-Dissektionen zwar das Aortenremodelling signifikant verbessert, aber keinen eindeutigen Langzeitüberlebensvorteil gegenüber medikamentöser Therapie bietet.
Chronische Dissektion
In der chronischen Phase stabilisieren sich Mortalitätsraten, steigen jedoch erneut bei aneurysmatischer Erweiterung oder Persistenz des falschen Lumens. Das Risiko einer späten Ruptur beträgt bis zu 30 % bei thorakalen Durchmessern > 60 mm oder bei persistierender Perfusion des falschen Lumens. Die 5-Jahres-Überlebensrate nach chronischer Typ-A-Versorgung beträgt etwa 75–85 %, bei chronischer Typ-B-Dissektion ist sie stark abhängig vom Remodeling-Verlauf und dem Bedarf an Sekundäreingriffen. Sekundäre TEVAR oder EVAR bei distaler Ausbreitung verbessern die Langzeitprognose signifikant, insbesondere bei konsequenter bildgebender Nachsorge.
Bildquelle
- Bildquelle DICOM-Viewer: Datensatz freundlicherweise zur Verfügung gestellt durch die Klinik für diagnostische und interventionelle Radiologie, St. Vinzenz Hospital Köln
Literatur
- Baliyan V et al. Acute aortic syndromes and aortic emergencies, Cardiovasc Diagn Ther. 2018;8(Suppl 1):S82-S96
- McMahon MA, Squirrel CA Multidetector CT of Aortic Dissection: A Pictorial Review, Radiographics. 2010;30(2):445-460
- Bortone AS et al. Endovascular treatment of thoracic aortic disease: four years of experience, Circulation. 2004;110(11 Suppl 1):II262-II267
- Batra P et al. Pitfalls in the diagnosis of thoracic aortic dissection at CT angiography, Radiographics. 2000;20(2):309-320
Quellen
- ↑ Czerny M et al. Editor's Choice - Current Options and Recommendations for the Treatment of Thoracic Aortic Pathologies Involving the Aortic Arch: An Expert Consensus Document of the European Association for Cardio-Thoracic Surgery (EACTS) & the European Society for Vascular Surgery (ESVS), Eur J Vasc Endovasc Surg. 2019;57(2):165-198, abgerufen am 23.10.2022
- ↑ Lombardi JV et al. Society for Vascular Surgery (SVS) and Society of Thoracic Surgeons (STS) Reporting Standards for Type B Aortic Dissections, Ann Thorac Surg. 2020;109(3):959-981, abgerufen am 23.10.2022
- ↑ Lombardi JV et al. Society for Vascular Surgery (SVS) and Society of Thoracic Surgeons (STS) Reporting Standards for Type B Aortic Dissections. Ann Thorac Surg. 2020
- ↑ Dake MD et al. DISSECT: a new mnemonic-based approach to the categorization of aortic dissection, Eur J Vasc Endovasc Surg. 2013;46(2):175-190, abgerufen am 23.10.2022
- ↑ Sievers HH et al. Aortic dissection reconsidered: type, entry site, malperfusion classification adding clarity and enabling outcome prediction. Interact Cardiovasc Thorac Surg. 2020
- ↑ Shah P, Bajaj S, Shamoon F. Aortic Dissection Caused by Percutaneous Coronary Intervention: 2 New Case Reports and Detailed Analysis of 86 Previous Cases. Tex Heart Inst J. 2016 Feb 1;43(1):52-60. doi: 10.14503/THIJ-14-4585. PMID: 27047287; PMCID: PMC4810587
- ↑ Rogers AM et al. Sensitivity of the aortic dissection detection risk score, a novel guideline-based tool for identification of acute aortic dissection at initial presentation: results from the international registry of acute aortic dissection, Circulation. 2011;123(20):2213-2218
- ↑ Nazerian P et al. Diagnostic Accuracy of the Aortic Dissection Detection Risk Score Plus D-Dimer for Acute Aortic Syndromes: The ADvISED Prospective Multicenter Study, Circulation. 2018;137(3):250-258
- ↑ Suzuki T et al. Diagnostic implications of elevated levels of smooth-muscle myosin heavy-chain protein in acute aortic dissection. The smooth muscle myosin heavy chain study, Ann Intern Med. 2000;133(7):537-541, abgerufen am 23.10.2022
- ↑ Saremi F et al. Image Predictors of Treatment Outcome after Thoracic Aortic Dissection Repair, Radiographics. 2018;38(7):1949-1972, abgerufen am 23.10.2022