Pneumothorax
Synonyme: Pneu, PTX
Englisch: pneumothorax
Definition
Als Pneumothorax, kurz PTX, bezeichnet man den Eintritt von Luft in den Pleuraspalt.[1]
Eine lebensbedrohliche Komplikation des Pneumothorax ist der Spannungspneumothorax.
Pathogenese
Durch den Eintritt von Luft zwischen die beiden Blätter der Pleura kommt es zur Aufhebung der Kapillarkräfte im Pleuraspalt. Die Adhäsion von Pleura viszeralis und Pleura parietalis geht verloren, die Lunge folgt nicht mehr den Thoraxbewegungen. Die Folge ist ein teilweiser oder vollständiger Kollaps des betroffenen Lungenflügels.
Die Luft kann dabei von außen (durch eine Verletzung) oder von innen (durch einen Riss des Lungengewebes bzw. eine bronchopleurale Fistel) eintreten. Prädisponiert für einen Pneumothorax sind besonders die Oberlappensegmente 1, 2 und 3, da diese bei tiefer Inspiration verhältnismäßig am stärksten gedehnt werden.
Ursachen
Die Ursachen eines Pneumothorax sind vielfältig und lassen sich in vier große Gruppen einordnen:
Traumata
Ein Pneumothorax kann infolge stumpfer oder spitzer Thoraxtraumata auftreten, z.B. bei
- Stichverletzung, Schussverletzung
- Rippenfraktur bzw. Rippenserienfraktur
- Ruptur des Lungengewebes
- Barotrauma
Ärztliche Interventionen
Iatrogen kann ein Pneumothorax z.B. bei Anlage eines zentralen Venenkatheters (insbesondere Subclavia-Katheter), Pleurapunktion, Überdruckbeatmung und Operationen auftreten.
Lungenerkrankungen
Als mögliche Ursachen kommen u.a. infrage:
- Asthma bronchiale
- Lungenemphysem
- Tuberkulose (Ruptur einer Kaverne)
- Lungenkarzinom
- Mukoviszidose
- Marfan-Syndrom
- Ehlers-Danlos-Syndrom
- Homocystinurie
- Alpha-1-Antitrypsin-Mangel
Idiopathisch
Idiopathisch, d.h. ohne erkennbare Ursache, tritt ein Pneumothorax vor allem bei jungen, schlanken Männern auf.
Einteilung
... nach Pathogenese
- Geschlossener Pneumothorax (Innerer Pneumothorax): Keine äußere Verletzung des Brustkorbs. Luftaustritt aus der Lunge durch die Pleura visceralis.
- Offener Pneumothorax (Äußerer Pneumothorax): Verletzung des Brustkorbs mit Lufteintritt durch die Brustwand und die Pleura parietalis.
... nach Umfang
- Partieller Pneumothorax: Teilweiser Kollaps der Lunge
- Totaler Pneumothorax: Vollständiger Kollaps der Lunge
- Bilateraler Pneumothorax: Doppelseitiger Pneumothorax
... nach Lokalisation
- Spitzenpneumothorax: apikal im Bereich der Lungenspitze
- Mantelpneumothorax: mantelförmig um die Lunge herum
... nach Begleiterguss
- Hämatopneumothorax: Pneumothorax mit Blutung
- Pyopneumothorax: Pneumothorax mit eitrigem Erguss
Von einem Spontanpneumothorax spricht man, wenn ein Pneumothorax ohne erkennbare äußere Ursache auftritt.
ICD-10 Codes
Klassifikation nach ICD-10:
- J93.0 Spontaner Spannungspneumothorax
- J93.1 Sonstiger Spontanpneumothorax
- J93.2 Iatrogener Pneumothorax
- J93.8 Sonstiger Pneumothorax
- J94.2 Hämatopneumothorax
- S27.0 Pneumothorax, traumatisch
- S27.2 Hämatopneumothorax, traumatisch
Symptome
Typische Symptome eines Pneumothorax sind:
- plötzlich auftretende, stechende, evtl. atemabhängige Schmerzen in der betroffenen Thoraxhälfte
- Dyspnoe, Atemnot
- Hustenreiz, trockener Husten
- "Nachhängen" der betroffenen Thoraxhälfte bei der Atmung
Diagnostik
Anamnese
Die Anamnese sollte vorbestehende pulmonale Erkrankungen und mögliche Thoraxtraumata erfassen.
Inspektion
Die Inspektion des Thorax registriert evtl. bestehende Verletzungen. Ferner fallen Tachypnoe, asymmetrische Atembewegungen und - vor allem bei Rippenserienfrakturen ggf. eine paradoxe Atmung auf. Die Haut über dem betroffenen Areal kann aufgebläht erscheinen (Hautemphysem).
Auskultation
Bei der Auskultation lässt sich über dem betroffenen Lungenflügel ein abgeschwächtes oder aufgehobenes Atemgeräusch feststellen. In bestimmten Körperpositionen (z.B. beim Vorbeugen) können beim Atmen Blubbergeräusche auftreten. Sie sind auf das Wandern von Luftblasen im feuchten Pleuraspalt zurückzuführen.
Perkussion
Die Perkussion des Thorax ergibt im Seitenvergleich einen hypersonoren Klopfschall auf der Seite mit dem kollabierten Lungenflügel ("Schachtelton").
Apparative Diagnostik
Röntgen-Thorax
Die Röntgen-Thorax-Aufnahme ist die Standarddiagnostik bei Verdacht auf einen Pneumothorax. Sie erfolgt klassischerweise im p.a.-Strahlengang im Stehen und in Exspirationsstellung. Zunehmend wird die Untersuchung auch in Inspiration durchgeführt, da sich in neueren Studien kein Vorteil der Exspirationsaufnahmen zeigte. Außerdem können so Pathologien des gesamten Lungenparenchyms besser beurteilt werden. Typische Befunde bei einem Pneumothorax sind:
- Pneulinie: Pleura visceralis ist als feine Linie erkennbar
- Abbruch der Lungengefäßzeichnung: Lungengefäße sind nur bis zur Pneulinie erkennbar
- Transparenzerhöhung (Aufhellung): Die Luftansammlung im Pleuraspalt führt zu einer vermehrten Strahlentransparenz, sodass der Bereich dunkler erscheint. Das Lungengewebe ist kollabiert (Atelektase) und erscheint somit transparenzgemindert (heller).
- ggf. subkutanes Emphysem und/oder Pneumomediastinum: z.B. nach Trauma oder Intervention
- Deep Sulcus Sign: tiefer lateraler Recessus costodiaphragmaticus in der Liegendaufnahme (a.p.-Projektion)
- bei Spannungspneumothorax: ipsilateraler Zwerchfelltiefstand, Mediastinalverlagerung nach kontralateral
Sonographie
Die Sonographie kann alternativ zum Röntgen-Thorax eingesetzt werden, insbesondere in der Akutdiagnostik nach Traumata sowie nach Interventionen. Hinweise auf einen Pneumothorax sind u.a.:
- fehlende Atemverschieblichkeit der Lunge (Pleuragleiten)
- nicht darstellbarer Pleuraspalt
- Barcode-Zeichen im M-Mode
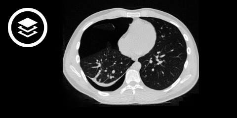
CT-Thorax
Die native Computertomographie ist insbesondere indiziert bei unklarem Befund im Röntgen-Thorax, Polytrauma-Patienten sowie bei komplizierenden Befunden (z.B. Hämatopneumothorax).
DICOM-Modelle können auf Mobilgeräten leider nicht angezeigt werden.
Therapie
Die Therapie eines Pneumothroax ist abhängig von der genauen Ursache. Mögliche Behandlungsmaßnahmen umfassen:
- Sauerstoffgabe
- konservativ: bei kleinem, asymptomatischem Mantel- bzw. Spitzenpneumothorax. Radiologische Kontrolle nach 24 Stunden.
- interventionell: Thoraxpunktion mit Anlegen einer Thoraxdrainage (Bülau- oder Monaldi-Drainage)
- minimal-invasiver Verschluss des Lecks über eine Bronchoskopie
- operativ: z.B. Pleurodese mittels VATS u.a. bei rezidivierendem Spontanpneumothorax
Bildquelle
- Bildquelle DICOM-Viewer: Datensatz freundlicherweise zur Verfügung gestellt durch die Klinik für diagnostische und interventionelle Radiologie, St. Vinzenz Hospital Köln
Quellen
- ↑ "Glossar thoraxradiologischer Begriffe entsprechend der Terminologie der Fleischner Society" von D Wormanns und OW Hamer, Rofo 2015; 187(08): 638-661