Pankreaspseudozyste
Englisch: pancreatic pseudocyst
Definition
Pankreaspseudozysten sind flüssigkeitsgefüllte Kammern im Bereich der Bauchspeicheldrüse (Pankreas), die nach akuten oder chronischen Entzündungen (Pankreatitis) auftreten können.
- ICD10-Code: K86.3
Pathophysiologie
Pankreaspseudozysten entwickeln sich im Verlauf einer akuten Pankreatitis aus Nekrosezonen oder im Rahmen des Schubs einer chronischen Pankreatitis durch Verklebung des Gangsystems. Durch Extravasation oder Flüssigkeitsretention kommt es im weiteren Verlauf zum sukzessiven Wachstum der Pseudozyste. Eine weitere mögliche Ursache sind Traumata des Pankreas, die eine Pankreatitis auslösen.
Im Gegensatz zu echten Zysten gibt es keine reguläre epitheliale Zystenwand, sondern nur eine schlecht abgrenzbare bindegewebige Grenzzone, die Granulationsgewebe enthalten kann. Die Wand der Pseudozyste bildet sich erst im Verlauf einiger Wochen aus, was man als "Reifung" bezeichnet. Vorher spricht man besser von einer "akuten Flüssigkeitsansammlung" im Pankreas.
Epidemiologie
Lage
Die Lokalisation von Pankreaspseudozysten ist sehr variantenreich. Sie können im Pankreas selbst lokalisiert sein (intrapankreatisch), aber auch um das Pankreas herum liegen (peripankreatisch), zum Beispiel retroperitoneal, in seltenen Fällen sogar mediastinal. Am häufigsten findet man sie im Bereich der Bursa omentalis.
Morphologie
Pankreaspseudozysten können eine erhebliche Größe annehmen und zur Verdrängung benachbarter anatomischer Strukturen führen. Innerhalb des Befunds können anfangs Septen erkennbar sein. Der Inhalt der Pseudozysten besteht aus seröser bis hämorrhagischer Flüssigkeit, die Zelldetritus enthält und einen hohen Gehalt an Amylase, Lipase und Enterokinasen (z.B. Trypsin) hat.
Symptome
Pankreaszysten sind in über 80 % der Fälle symptomatisch. Abhängig vom Größenwachstum kann es zu dumpfen Oberbauchschmerzen oder kolikartigen Beschwerden kommen. Zusätzlich können Völlegefühl, Nausea und Erbrechen auftreten. Pankreaspseudozysten sind eine sehr häufige Ursache von länger als drei Wochen bestehenden Schmerzen nach einer akuten Pankreatitis.
Bei asymptomatischen Pankreaszysten muss eine erweiterte Diagnostik durchgeführt werden, um zystische Pankreasneoplasien auszuschließen.[2]
Komplikationen
Neben der Schmerzsymptomatik kann es zu folgenden Komplikationen kommen:
- Stenosierung des Magens oder Duodenums
- Gallengangsstenose
- Pankreasgangstenose
- Infektionen
- Blutung
- Fistelbildung (pankreatikopleurale Fistel)
- Rezidiv der chronischen Pankreatitis
Diagnose
Körperliche Untersuchung
Größere Pseudozysten machen sich bereits bei der Palpation des Abdomens als großer tastbarer Tumor bemerkbar oder auch durch das Vorliegen einer leichten Abwehrspannung.
Sonografie
Reife Pankreaspseudozysten lassen sich gut mittels der Oberbauchsonografie darstellen, wobei sich die Pseudozysten als echofreie bzw. echoarme Zone präsentieren, deren Wandbereich verstärkt echogen ist. Akute Flüssigkeitsansammlungen im Pankreas sind oft nicht so deutlich darstellbar, da innerhalb der Flüssigkeit - bedingt durch nekrotisches Gewebe - echoreiche Bezirke auftreten.
Andere Untersuchungen
MRT und CT können – vor allem im Frühstadium bei akuten Flüssigkeitsansammlungen – zur genaueren Lokalisation bzw. differentialdiagnostischen Abgrenzung herangezogen werden.
Die Endosonografie ist eine wichtiges Instrument zur Beurteilung der genauen Lokalisation und Morphologie der Pseudozyste sowie zur Abgrenzung von Differentialdiagnosen. Außerdem ist die Möglichkeit zur gleichzeitigen interventionellen Therapie gegeben.
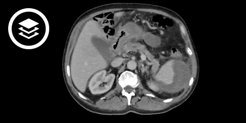
CT-Fallbeispiel
DICOM-Modelle können auf Mobilgeräten leider nicht angezeigt werden.
Differentialdiagnosen
- echte Pankreaszysten
- zystische Tumore (z.B. Zystadenome)
- Pankreasabszess
Therapie
Die Therapie ist abhängig von der Größe, Lokalisation und Symptomatik des Befunds. Zunächst kann im Rahmen einer Verlaufsbeobachtung abwartend vorgegangen werden, da Pankreaspseudozysten, die im Rahmen einer Pankreatitis entstehen, sich häufig spontan zurückbilden können. Dabei ist eine komplette oder inkomplette Regression möglich.
Bei bestehender Schmerzsymptomatik und/oder dem Auftreten von Komplikationen ist jedoch die Indikation für eine interventionelle oder chirurgische Therapie gegeben. Asymptomatische Pseudozysten werden behandelt, wenn sie länger als sechs Wochen bestehen und eine Größe von mehr als 5 cm im Durchmesser erreichen.
Interventionelle Therapie
Die Entlastung erfolgt mittels endoskopischer Punktion, wobei der Zugangsweg von der Größe und Lage der Pseudozyste abhängt. Die Drainage kann transgastral, z.B. als zystogastrale Anastomose mittels Anlage eines Lumen-Apposing Metal Stents (LAMS) erfolgen. Alternativ wird ein transduodenaler oder transpapillärer (mittels ERCP) Drainageweg gewählt. Grundsätzlich ist auch eine perkutane Ableitung möglich, diese birgt jedoch ein höheres Risiko für eine Fistelbildung. Bei der Wahl eines transmuralen, inneren Zugangsweges muss die Intervention unter endosonografischer Kontrolle erfolgen.
Periinterventionell wird eine Antibiotikaprophylaxe durchgeführt, um eine iatrogene Infektion der Pseudozysten zu vermeiden.
Chirurgische Therapie
In ausgeprägten Fällen, bei Rezidiven sowie bei Verdacht auf eine maligne zystische Raumforderung ist eine operative Revision erforderlich. Insbesondere mehrfach gekammerte, multiple und/oder sehr große Pseudozysten mit Ausdehnung bis in das Becken sind oftmals chirurgisch besser therapierbar.
Resezierte Wandanteile werden intraoperativ per Schnellschnitt untersucht, um einen Pankreastumor auszuschließen. Als Drainageverfahren kann in Abhängigkeit von der Lage der Pseudozyste eine Zystojejunostomie mit einer Roux-Y-förmigen Jejunumschlinge, eine Zystogastrostomie oder eine Zystoduodenostomie durchgeführt werden.
Bildquelle
- Bildquelle DICOM-Viewer: Datensatz freundlicherweise zur Verfügung gestellt durch die Klinik für diagnostische und interventionelle Radiologie, St. Vinzenz Hospital Köln
Quellen
- ↑ Lerch et al., Pankreaspseudozysten, Dtsch Arztebl Int, 2009
- ↑ Hollerbach, S. Pankreaszysten - Diagnostik. Zystische Läsionen und Tumoren des Pankreas klar unterscheiden, Gastro News 2018; 04(5): 32-41.
Literatur
- AWMF online: S3-Leitlinie Pankreatitis – Leitlinie der Deutschen Gesellschaft für Gastroenterologie, Verdauungs- und Stoffwechselkrankheiten, Stand 2021
- Lerch et al., Chronische Pankreatitis: Behandlung von Pseudozysten, DGIM Innere Medizin, SpringerMedizin – e.Medpedia, 2015