Splenomegalie
von altgriechisch: σπλήν ("splen") - Milz; μέγας ("megas") - groß
Synonym: Milzvergrößerung
Englisch: splenomegaly
Definition
Als Splenomegalie wird eine Vergrößerung der Milz bezeichnet.
Physiologische Größe
Die Milz ist ca. 11 cm lang, 7 cm breit (Querdurchmesser) und 4 cm dick. Das Organgewicht unterliegt je nach Blutvolumen des Individuums bei durchschnittlich 160 g bei vollständig ausgeblutetem Organ. Die Bestimmung der Größe der Milz ist durch eine Milzsonographie zuverlässig möglich.
Ätiologie
Eine Vergrößerung der Milz kann verschiedene Ursachen haben:
Gestörter Blutabfluss
Infektiöse Ursachen
Infiltrative Ursachen
Immunopathien
Erythrozytäre Strukturdefekte
Hämoglobinopathien
Andere Ursachen
Grade der Vergrößerung
Das Ausmaß einer Splenomegalie kann zur Abgrenzung einer milden, moderaten und massiven Form der Splenomegalie herangezogen werden.
Milde Splenomegalie
Eine leichte Splenomegalie besteht bei einem Organgewicht von unter 500 g. Häufige Ursachen sind bakterielle Entzündungen oder fieberhafte Infekte.
Moderate Splenomegalie
Das Organgewicht liegt zwischen 500 und 800 g. Diese tritt unter anderem auf bei chronischer Stauung der Milz, Hämoglobinopathien und Speicherkrankheiten.
Massive Splenomegalie
Die massive oder extreme Splenomegalie ist durch ein Organgewicht über 1.000 g gekennzeichnet. Die Milz ist dabei bis zu 8 cm unter dem Rippenbogen tastbar. Eine so ausgeprägte Milzvergrößerung findet sich unter anderem bei chronisch myeloproliferativen Erkrankungen wie CML, Polycythaemia vera, Osteomyelofibrose oder Lymphomen. Darüber hinaus kommen Morbus Gaucher, Thalassaemia major, Malaria oder eine viszerale Leishmaniose als Ursachen in Frage.
Alternative Einteilung
Nach Poulin wird das Ausmaß der Splenomegalie am größten Organdurchmesser orientiert.[1] Dabei gilt:
- Normalbefund: < 11 cm
- Moderate Splenomegalie: 11–20 cm
- Schwere Splenomegalie: > 20 cm
Symptome
Leichte Milzvergrößerungen sind asymptomatisch. Eine ausgeprägtere Volumenzunahme des Organs kann durch Verdrängung der Nachbarorgane zu Nausea, Völlegefühl oder Bauchschmerzen im linken Oberbauch führen.
Diagnostik
Die Verdachtsdiagnose kann bei einer Splenomegalie bereits klinisch durch Palpation oder Perkussion gestellt werden. Bei tiefer Inspiration stößt eine leicht vergrößerte Milz an die Fingerspitzen des Untersuchers. Bei schlanken Patienten kann so in einigen Fällen auch eine nicht vergrößerte Milz wahrgenommen werden. Bei deutlicherer Vergrößerung ist der kaudale Milzrand unter dem Rippenbogen tastbar.
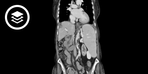
Die Diagnosesicherung erfolgt durch bildgebende Verfahren wie Sonographie, MRT oder CT. Dabei kann auch die Binnenstruktur der Milz analysiert werden, die weitere differentialdiagnostische Anhaltspunkte liefert.
CT-Fallbeispiel
DICOM-Modelle können auf Mobilgeräten leider nicht angezeigt werden.
Komplikationen
Als Komplikation der Splenomegalie kann es zum Hypersplenismus kommen. Durch Überdehnung der Milzkapsel kann auch eine spontane Milzruptur auftreten.
Therapie
Die Splenomegalie ist ein Begleitsymptom, keine eigenständige Erkrankung. Die Behandlung richtet sich daher nach der auslösenden Ursache.
Bildquelle
- Bildquelle DICOM-Viewer: Datensatz freundlicherweise zur Verfügung gestellt durch die Klinik für diagnostische und interventionelle Radiologie, St. Vinzenz Hospital Köln
Quellen
- ↑ Poulin, E. C., J. Mamazza, and C. M. Schlachta. "Splenic artery embolization before laparoscopic splenectomy." Surgical endoscopy 12.6 (1998): 870-875.