Obstruktive Uropathie
Synonyme: Harnabflussstörung, Harnstauung, Harnwegsobstruktion
Englisch: obstructive uropathy
Definition
Der Begriff der obstruktiven Uropathie bezeichnet das Zustandsbild des gestörten Harnabflusses in Folge einer Obstruktion der ableitenden Harnwege.
Ätiologie
Ursachen einer akuten oder chronischen Harnabflussstörungen sind z.B.:
- im Bereich der Urethra
- Urethrakarzinome
- Urethrastrikturen
- Steinverlegung bei Urolithiasis
- im Bereich der Prostata
- im Bereich der Harnblase
- im Bereich der Ureteren
- (kongenitale) Stenosen und Strikturen
- konkrementbedingter Okklusion bei Urolithiasis
- Ureterkarzinom
- Ureterkompression bei
- Retroperitonealfibrose
- abdominellen Raumforderungen (z.B. Tumoren) oder postoperative Verwachsungen
- gynäkologischen Erkrankungen des Uterus oder der Adnexe
Klinik
In Abhängigkeit des Obstruktionsgrades resultiert ein Harnrückstau (Refluxuropathie), der bei chronischem Zustandsbild eine Dilatation des Ureters (Hydroureter) und des Nierenbeckens (Hydronephrose) mit Schädigung des Nierenparenchyms (postrenale Niereninsuffizienz) zur Folge hat. In diesem Fall spricht man von einer obstruktiven Nephropathie.
Die klinische Symptomatik äußert sich in
- den jeweiligen Symptomen der Grunderkrankung
- Miktionsstörungen: Oligurie bis Anurie und
- (rezidivierenden) Harnwegsinfekten
Akute Harnabflussstörungen verursachen häufig eine ausgeprägtere Symptomatik, die mit kolikartigen Flankenschmerzen, Leistenschmerzen und Übelkeit einhergehen kann.
Diagnostik
Die Abklärung der Harnabflussstörung umfasst
- die Anamnese bzgl. Begleitsymptomen
- die Sonographie der Harnblase und des Abdomens
- die röntgenologische Darstellung der ableitenden Harnwege (z.B. i.v.-Urogramm)
- ggf. erweiterte bildgebende Diagnostik mittels CT oder MRT-Urographie
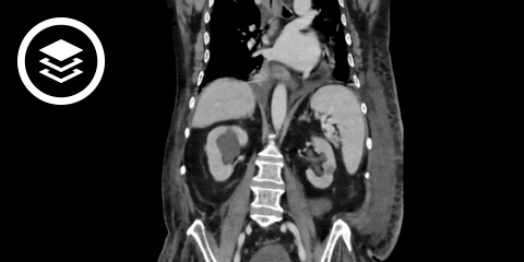
CT-Fallbeispiele
Therapie
Die Therapie erfolgt durch die endoskopische oder chirurgische Rekanalisation der Harnwege. Bei unzureichendem Ergebnis kann in Abhängigkeit der jeweiligen Ursache
- die Implantation eines Stents (Urethra-Stent, Ureterkatheter) oder
- die Anlage eines Urostomas
indiziert sein.
Bildquelle
- Bildquelle DICOM-Viewer Harnstau: Datensatz freundlicherweise zur Verfügung gestellt durch die Klinik für diagnostische und interventionelle Radiologie, St. Vinzenz Hospital Köln
- Bildquelle DICOM-Viewer Urothelkarzinom: Kirk et al. (2016). The Cancer Genome Atlas Urothelial Bladder Carcinoma Collection (TCGA-BLCA) (Version 8). The Cancer Imaging Archive.
Quelle
- Reiser et al. Duale Reihe Radiologie. 4., vollständig überarbeitete Auflage, 2017. Thieme