MCA-Punkt-Zeichen
Synonyme: distal hyperdenses MCA-Zeichen, punktförmiges Hyperdensitätszeichen der ACM
Englisch: MCA dot sign, Sylvian fissure dot sign
Definition
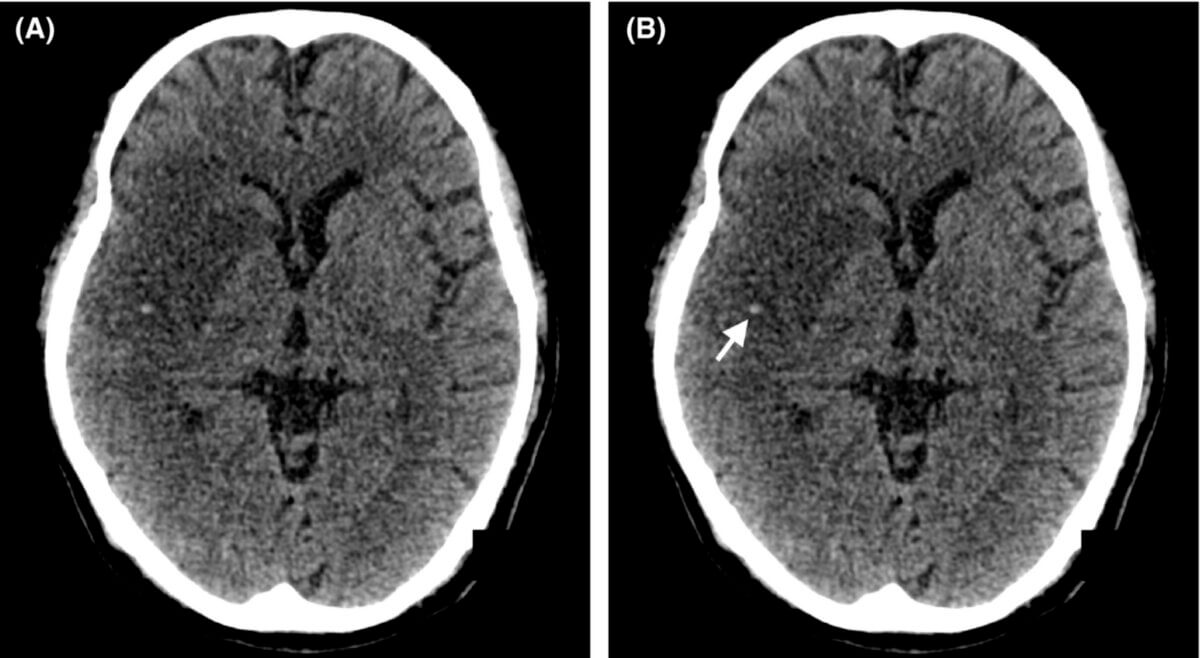
Das MCA-Punkt-Zeichen ist ein radiologisches Zeichen, das auf eine thromboembolische Okklusion der distalen Äste der Arteria cerebri media (MCA, ACM) hinweist. Er erscheint als punktförmige Hyperdensität in der Sylvischen Fissur auf axialen, nativen CT-Bildern des Schädels. Dieses Zeichen ist ein früher Indikator für einen akuten ischämischen Schlaganfall im Versorgungsgebiet der Arteria cerebri media.[1]
Radiologische Merkmale
- Lokalisation: Hyperdensität im M2- oder M3-Segment der MCA innerhalb der Sylvischen Fissur
- Erscheinungsbild: auf axialen CT-Bildern erscheint die thrombosierte Arterie als hyperdenses, punktförmiges Areal – daher der Name "dot sign"
- Differenzierung: Im Gegensatz zum hyperdensen Mediazeichen, das eine lineare Hyperdensität im M1-Segment der MCA darstellt, betrifft das MCA-Punkt-Zeichen die distalen Segmente und erscheint punktförmig
Diagnostische Bedeutung
Der MCA-Punkt-Zeichen ist ein spezifisches, jedoch nicht sehr sensibles Zeichen für eine distale Okklusion der Arteria cerebri media. Studien zeigen eine Sensitivität von etwa 38 % und eine Spezifität von nahezu 100 %.[2]
Die frühzeitige Erkennung dieses Zeichens kann die Diagnose eines akuten ischämischen Schlaganfalls unterstützen und die Entscheidung für eine thrombolytische Therapie beeinflussen.
Differentialdiagnosen
Bei der Interpretation des MCA-Punkt-Zeichens sollten folgende Differentialdiagnosen berücksichtigt werden:
- Vaskuläre Kalzifikationen: altersbedingte oder atherosklerotische Veränderungen können ähnliche Hyperdensitäten verursachen
- Artefakte: Beam-Hardening oder andere technische Artefakte können fälschlicherweise als Punkt-Zeichen interpretiert werden.
- Hoher Hämatokritwert: Eine Polyzythämie kann zu einer allgemeinen Erhöhung der Gefäßdichte führen
Prognose
Quellen
- ↑ Barber, P. A., Demchuk, A. M., Hudon, M. E., Pexman, J. W., Hill, M. D. & Buchan, A. M. (2001). Hyperdense Sylvian Fissure MCA “Dot” sign. Stroke, 32(1), 84–88. https://doi.org/10.1161/01.str.32.1.84
- ↑ Noh, M. S. F. M. (2021). The middle cerebral artery (MCA) dot sign. Clinical Case Reports, 9(8). https://doi.org/10.1002/ccr3.3319
- ↑ Leary, M. C., Kidwell, C. S., Villablanca, J. P., Starkman, S., Jahan, R., Duckwiler, G. R., Gobin, Y. P., Sykes, S., Gough, K. J., Ferguson, K., Llanes, J. N., Masamed, R., Tremwel, M., Ovbiagele, B., Vespa, P. M., Vinuela, F. & Saver, J. L. (2003). Validation of Computed Tomographic Middle Cerebral Artery “Dot” Sign. Stroke, 34(11), 2636–2640. https://doi.org/10.1161/01.str.0000092123.00938.83
Bitte melde dich an, um die Lern-Tools nutzen zu können.
Jetzt anmelden