Duktales Carcinoma in situ
Abkürzung: DCIS
Definition
Das duktale Carcinoma in situ, kurz DCIS, ist eine sehr häufige (noch) nicht invasive Form des Mammakarzinoms mit intakter Basalmembran.
Nomenklatur
Neben der Bezeichnung "DCIS" wird in der Pathologie auch der Begriff "Duktale intraepitheliale Neoplasie" (DIN) verwendet.
Epidemiologie
Etwa 20 % aller Mammakarzinome sind DCIS, wobei der Häufigkeitsgipfel zwischen dem 55. und 65. Lebensjahr liegt. Die Inzidenz hat aufgrund der Etablierung von mammografischen Früherkennungsprogrammen stark zugenommen.
Pathohistologie
Die Pathohistologie des DCIS ist vielfältig. Es kommt zu einer ausgeprägten Störung der Läppchenarchitektur. Das Epithel der Milchgänge ist verbreitert und enthält Zeichen der Atypie. Das DCIS geht jedoch nicht über die Basalmembran hinaus. Früheste Formen der intraduktalen Neoplasie umfassen:
- Die flache epitheliale Atypie (FEA), die eine Zylinderzellmetaplasie mit geringen Kernatypien aufweist, die noch nicht ausreichend für ein DCIS sind. Wenn sie in einer Stanzbiopsie gefunden wird, kann sie ein Hinweis auf ein mögliches benachbartes DCIS sein, das in der Stanzbiopsie nicht erfasst wurde, und es wird empfohlen, eine Nachbiopsie durchzuführen.
- Die atypische intraduktale Hyperplasie (ADH), die sich vom gut differenzierten DCIS nur durch eine geringere Größenausdehnung von ≤ 2 mm unterscheidet.
Die Wucherungen selbst können sehr variable Gestalten annehmen. Bekannte Wachstumsmuster eines DCIS sind:
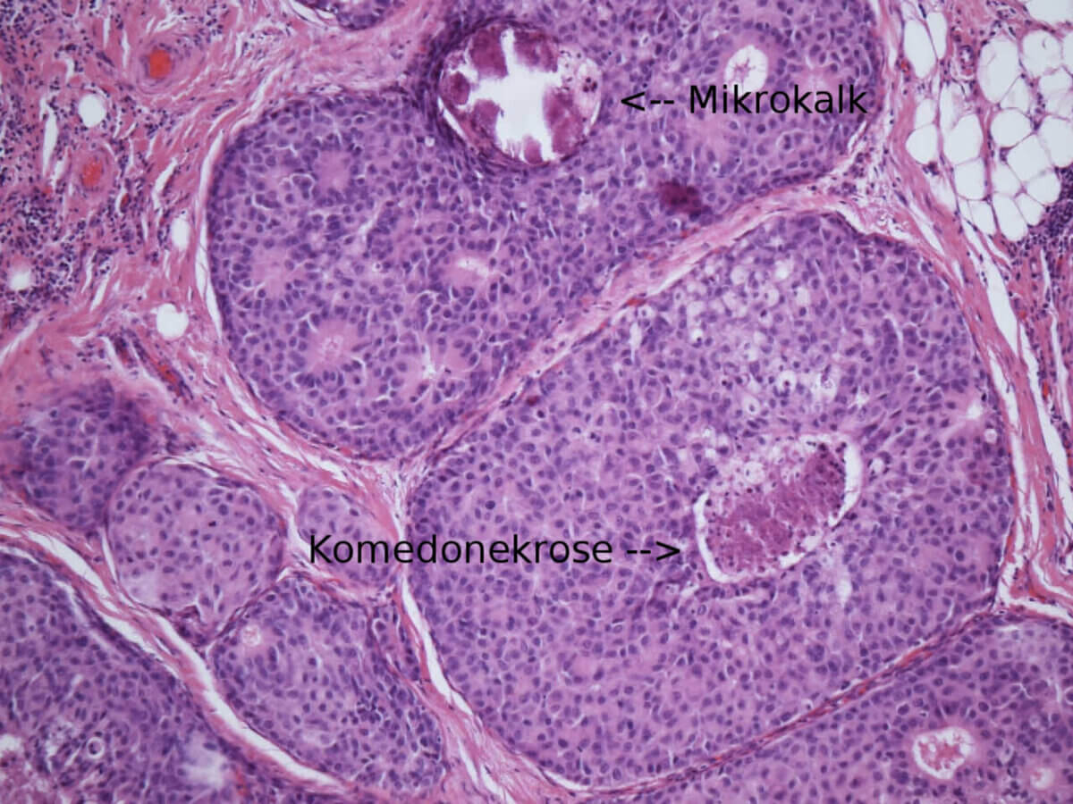
- Komedo-Typ: 30-50 % der DCIS, schnell wachsend, mit zentraler Komedonekrose, mit leichtem Druck wie ein Mitesser auszudrücken
- Nicht-Komedo-Typ
- Solider Typ
- Kribriformer Typ
- Mikropapillärer Typ
- Papillärer Typ
- Clinging-Typ
Mischtypen kommen häufig vor. Das Spektrum der Zellkernatypien ist ebenfalls weitläufig. So kommen Bereiche mit hochgradigen Veränderungen neben noch normal aussehenden monomorphen Kernen vor. Anhand des pathohistologischen Bilds wird der Malignitätsgrad des DCIS in drei Klassen eingeteilt:
- Grad I (niedrig)
- Grad II (mäßig/moderat)
- Grad III (hoch)
Die Zellen des duktalen Carcinoma in situ exprimieren häufig Rezeptoren für Östrogene, seltener für Progesteron.
Klinik
Das duktale Carcinoma in situ verursacht in frühen Stadien selten einen palpablen Tumor. Allerdings verursacht es durch das Sekret oder verkalkte Nekrosen sehr häufig Mikrokalzifikationen, die in der Mammographie auffällig sind. Das duktale Carcinoma in situ wird dadurch häufig durch ein geeignetes Screening in frühen Stadien entdeckt.
Nicht frühzeitig entdeckte Fälle des DCIS können in fortgeschrittenen Stadien zur Knotenbildung und Retraktion der Mamille führen.
Unbehandelt entwickeln mindestens ein Drittel der Betroffenen ein invasives Mammakarzinom. Bei adäquater Behandlung (chirurgische Maßnahmen kombiniert mit Bestrahlung und Tamoxifen) sind die Heilungsaussichten exzellent. Von größter Wichtigkeit ist bei der Therapie die Ausräumung aller Anteile des DCIS, um einer drohenden Umwandlung in ein invasives Karzinom die Grundlage zu entziehen.