Alberta Stroke Program Early CT Score
Synonym: ASPECT-Score
Definition
Der Alberta Stroke Program Early CT Score, kurz ASPECTS, ist ein standardisierter CT-Bewertungsscore zur Beurteilung früher ischämischer Veränderungen im Versorgungsgebiet der Arteria cerebri media (ACM) bei akutem ischämischem Schlaganfall.
Hintergrund
ASPECTS ist ein semiquantitativer bildmorphologischer Scoring-Index, der bei kranialen Computertomographieaufnahmen zur Anwendung kommt. Er wurde erstmals im Jahr 2000 im Rahmen des Alberta Stroke Programs eingeführt.[1]
Einteilung
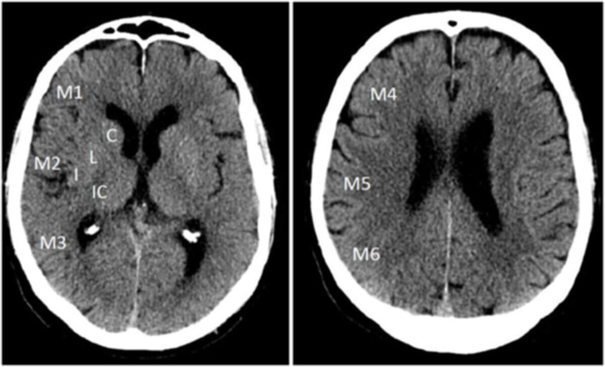
Das Versorgungsgebiet der ACM wird in zehn gleich gewichtete Territorien unterteilt. Unterschieden werden sechs kortikale Areale (M1–M6) sowie vier tiefere Strukturen (Nucleus caudatus, Putamen, Capsula interna und Inselregion).
ASPECTS-Zonen auf NCCT[2]
Durchführung
Ausgangspunkt ist ein maximaler Wert von 10 Punkten (= kein Infarktfrühzeichen). Für jede Region, in der hypodense Veränderungen oder ein Verlust der Mark-Rinden-Differenz festgestellt werden, wird ein Punkt abgezogen. Der minimal mögliche Score beträgt 0 Punkte.[3]
Die Beurteilung erfolgt anhand axialer Nativaufnahmen, typischerweise in einer 5-mm-Schichtdicke. Der Score kann sowohl manuell durch erfahrene (Neuro-)Radiologen, als auch automatisiert mittels KI-gestützter Software (z.B. e-ASPECTS) bestimmt werden.[4]
Klinische Bedeutung
ASPECTS dient als Prädiktor für das funktionelle Outcome nach einem ischämischen Schlaganfall. Er kann zur Indikationsstellung für eine endovaskuläre Therapie herangezogen werden.[5][6] Ein niedriger ASPECT-Score (≤ 5) ist mit einem erhöhten Risiko für hämorrhagische Transformation und schlechteren funktionellen Outcome assoziiert.
Limitationen
Die Aussagekraft von ASPECTS kann durch Artefakte, Patientenbewegungen und variable Bildqualität beeinträchtigt sein. Die Übereinstimmung der Einschätzungen durch verschiedene Untersucher (Interrater-Reliabilität) ist abhängig von der Erfahrung der Beurteilenden und fällt bei subtilen Frühzeichen moderat aus.[7] Zudem erlaubt ASPECTS keine Aussagen über Läsionen außerhalb des ACM-Territoriums.
Referenzen
- ↑ Pexman JH, Barber PA, Hill MD, et al. Use of the Alberta Stroke Program Early CT Score (ASPECTS) for assessing CT scans in patients with acute stroke. AJNR Am J Neuroradiol. 2001;22(8):1534-1542.
- ↑ Schröder J, Thomalla G. A Critical Review of Alberta Stroke Program Early CT Score for Evaluation of Acute Stroke Imaging. Front Neurol. 2017;7:245. Published 2017 Jan 12. doi:10.3389/fneur.2016.00245
- ↑ Barber PA, Demchuk AM, Zhang J, Buchan AM. Validity and reliability of a quantitative computed tomography score in predicting outcome of hyperacute stroke before thrombolytic therapy. ASPECTS Study Group. Alberta Stroke Programme Early CT Score [published correction appears in Lancet 2000 Jun 17;355(9221):2170]. Lancet. 2000;355(9216):1670-1674. doi:10.1016/s0140-6736(00)02237-6
- ↑ Nagel S, Joly O, Pfaff J, et al. e-ASPECTS derived acute ischemic volumes on non-contrast-enhanced computed tomography images. Int J Stroke. 2020;15(9):995-1001. doi:10.1177/1747493019879661
- ↑ Albers GW, Marks MP, Kemp S, et al. Thrombectomy for Stroke at 6 to 16 Hours with Selection by Perfusion Imaging. N Engl J Med. 2018;378(8):708-718. doi:10.1056/NEJMoa1713973
- ↑ Nogueira RG, Jadhav AP, Haussen DC, et al. Thrombectomy 6 to 24 Hours after Stroke with a Mismatch between Deficit and Infarct. N Engl J Med. 2018;378(1):11-21. doi:10.1056/NEJMoa1706442
- ↑ Mair, G. & Wardlaw, J. M. (2014). Imaging of acute stroke prior to treatment: current practice and evolving techniques. British Journal Of Radiology, 87(1040), 20140216. doi:10.1259/bjr.20140216