Optikusscheiden-Sonographie
Synonyme: Optikus-Sonographie, Optikusnervenscheiden-Sonographie, ONSD-Sonographie
Englisch: optic nerve sheath ultrasound, optic nerve sheath diameter
Definition
Die Optikusscheiden-Sonographie ist ein Point-of-Care-Ultraschallverfahren zur indirekten Beurteilung des Hirndrucks (ICP). Sie beruht auf der Messung des Optikusscheiden-Durchmessers (optic nerve sheath diameter, ONSD), der sich bei erhöhtem ICP erweitern kann.
Hintergrund
Die Optikusscheide bezeichnet die Umhüllung des Nervus opticus durch die Hirnhäute. Da die Optikusscheide liquorführend ist, wird bei einer intrakraniellen Drucksteigerung der erhöhte Druck über den Liquorraum auf die Optikusscheide übertragen, was zu einer messbaren Erweiterung des ONSD führen kann. Im Gegensatz zur konventionellen Hirndruckmessung ist das Verfahren nicht-invasiv und schnell durchführbar.
Indikationen
Die Optikusscheiden-Sonographie kann bei Verdacht auf einen erhöhten Hirndruck, z.B. durch Schädel-Hirn-Trauma, Hirnblutung, Pseudotumor cerebri oder Schlaganfall eingesetzt werden. Das Verfahren ist insbesondere in der Notfall- und Intensivmedizin verbreitet.
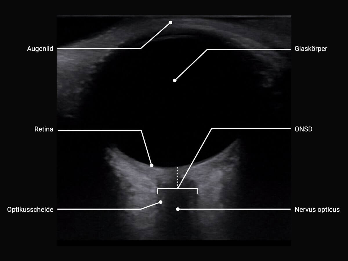
Durchführung
Die Untersuchung erfolgt transorbital in Rückenlage bei geschlossenem Auge. Ein Linearschallkopf wird mit Gel vorsichtig auf das geschlossene Augenlid aufgesetzt. Zur Vermeidung von Druck auf das Auge stützt die Untersucherhand sich auf der Stirn ab. Wache Patienten werden aufgefordert, bei geschlossenen Lidern geradeaus zu schauen. Im B-Modus erscheint der Nerv mit umgebender Optikusscheide in transversaler Ebene. Die Messung des OSND erfolgt 3 mm hinter dem Bulbus oculi.
Beurteilung
Die Normwerte sind altersabhängig. Bei Erwachsenen gilt eine Erhöhung des Durchmessers auf > 5 mm als Hinweis für eine ICP-Erhöhung > 20 mmHg.[1] Um Messungenauigkeiten und falsch-positive Befunde zu vermeiden, muss die Messung immer beidseitig erfolgen.
| Alter | Normwert |
|---|---|
| < 1 Jahr | < 4 mm |
| 1-15 Jahre | < 4,5 mm |
| >15 Jahre | < 5 mm |
Vorteile
Das Verfahren ist schnell, kostengünstig und insbesondere in Notfallsituationen einfach durchführbar. Es lässt sich beliebig oft wiederholen, da es nicht-invasiv ist. Zudem entsteht keine Strahlenbelastung.
Nachteile
Die Ergebnisse sind untersucherabhängig und erfordern eine entsprechende Lernkurve. Durch fehlerhafte Positionierung des Schallkopfes können Artefakte entstehen. Bei bestehenden okulären Vorerkrankungen, etwa Bulbuspathologien oder Orbitafrakturen, ist die Aussagekraft eingeschränkt. Zudem ersetzt die Methode keine invasiven ICP-Messungen in der Neurochirurgie.
Literatur
- Radiopaedia.org: Optic Nerve Sheath Diameter, zuletzt abgerufen am 11.11.2025
- Richards, Munakomi, Mathew: Optic Nerve Sheath Ultrasound. StatPearls, zuletzt abgerufen am 11.11.2025
- Patel, Chowdhury, Gul et al.: Ultrasound of Optic Nerve Sheath Diameter and Stroke Outcomes. Crit Care Explorer, 2021
- Deutsche Gesellschaft für Ultraschall in der Medizin (DEGUM): Ultraschall durchs Augenlid, 07.10 2025
Quelle
- ↑ Wang et al., Using optic nerve sheath diameter for intracranial pressure (ICP) assessment: A systematic review and meta-analysis, BMC Neurology, 2023