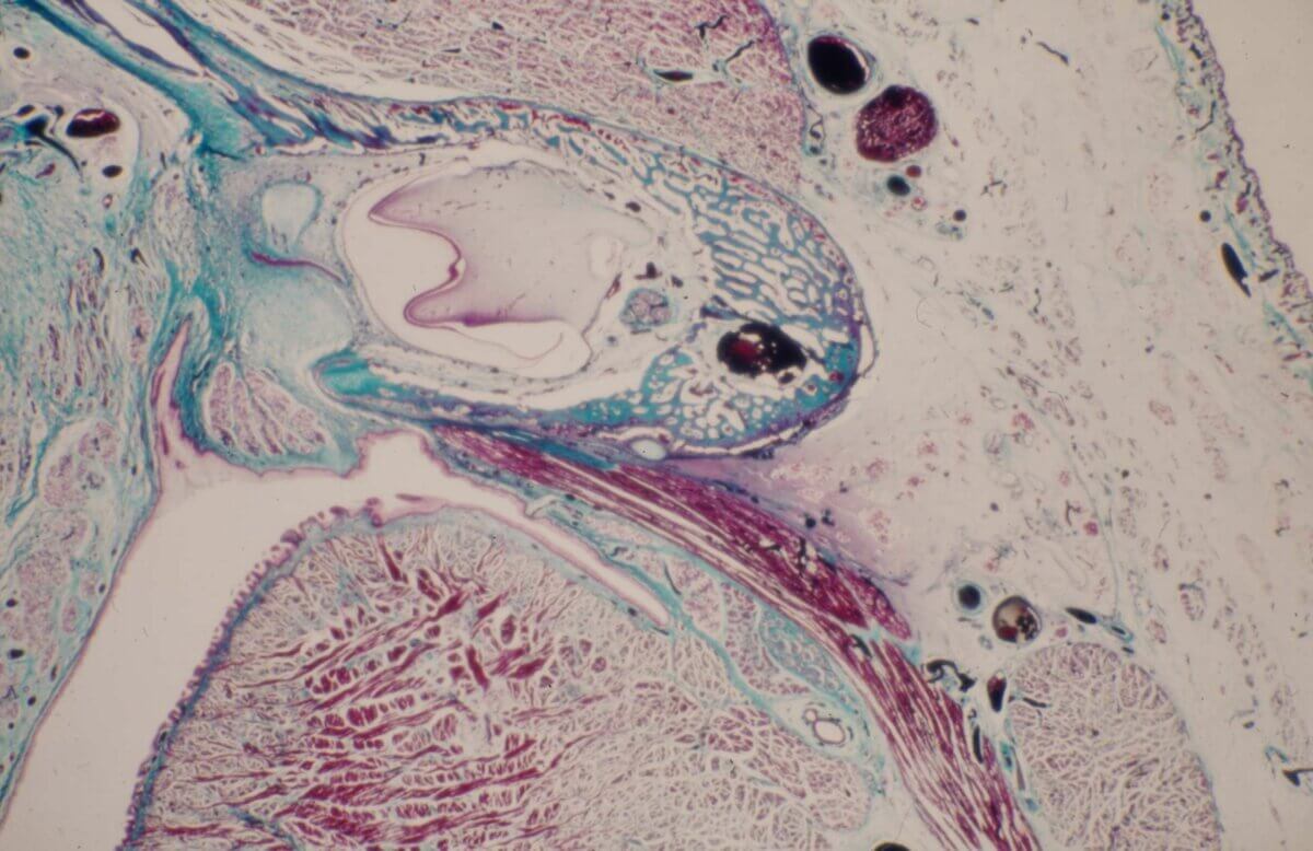
Zahnkeim
Englisch: tooth germ, tooth bud
Definition
Als Zahnkeim wird das Stadium des Zahnes während der Zahnentwicklung bezeichnet, in dem bereits die Zahnkrone ausgebildet und mineralisiert ist, das Wachstum der Zahnwurzel jedoch noch nicht abgeschlossen ist. Er entsteht aus ektodermalen und mesodermalen Schichten des embryonalen Gewebes.
Klinische Relevanz
Zahnkeimentfernung
Die Zahnkeimentfernung, auch "Germektomie", bezeichnet einen meist aus kieferorthopädischen Gründen durchgeführten Eingriff, bei dem der Zahnkeim vor Durchbruch in die Mundhöhle operativ entfernt wird. In diesem Stadium hat noch keine feste Verwurzelung in den Kieferknochen stattgefunden, was den Eingriff erleichtert. Zum Einsatz kommt die Zahnkeimentfernung beispielsweise bei der Entfernung der Weisheitszähne.
Zahnkeimtransplantation
Bei der Zahnkeimtransplantation wird ein Zahnkeim (meist der untere Weisheitszahn) entnommen und an anderer Stelle in ein entsprechend vorbereitetes Zahnfach verpflanzt, um einen fehlenden oder zerstörten Zahn zu ersetzen. Durch das Verfahren kann ohne prothetische Restauration eine Lücke geschlossen werden.
Literatur
- Zahnwissen-Lexikon
- Tooth Germ Science Direct, abgerufen am 02.07.2021
- Tooth germ Encyclopedia Britannica, abgerufen am 02.07.2021