Papillae foliatae
Synonyme: Blattpapillen, Blätterpapillen
Englisch: foliate papillae
Definition
Als Papillae foliatae bezeichnet man blattförmig gefaltete Strukturen der hinteren Zungenschleimhaut, die für die Geschmackswahrnehmung (Gustation) verantwortlich sind. Sie gehören zu den Papillae gustatoriae.
Lokalisation
Die Papillae foliatae liegen im posterioren 1/3 der Zunge vor dem Sulcus terminalis. Dort findet man sie am Zungenrand (Margo linguae) am Übergang zum Arcus palatoglossus. Diesen Bereich der Zunge bezeichnet man auch als Pars foliatae. Die Angaben zur Anzahl der Blattpapillen schwanken in der Literatur. Sie sollen mit etwa 15 - 20 Einheiten den zweitgrößten Teil der Geschmackspapillen darstellen.[1] Bei Kindern und Jugendlichen sind sie deutlich ausgeprägt. Im Erwachsenenalter nimmt ihre Zahl ab, bis sie nur noch rudimentär vorhanden sind.
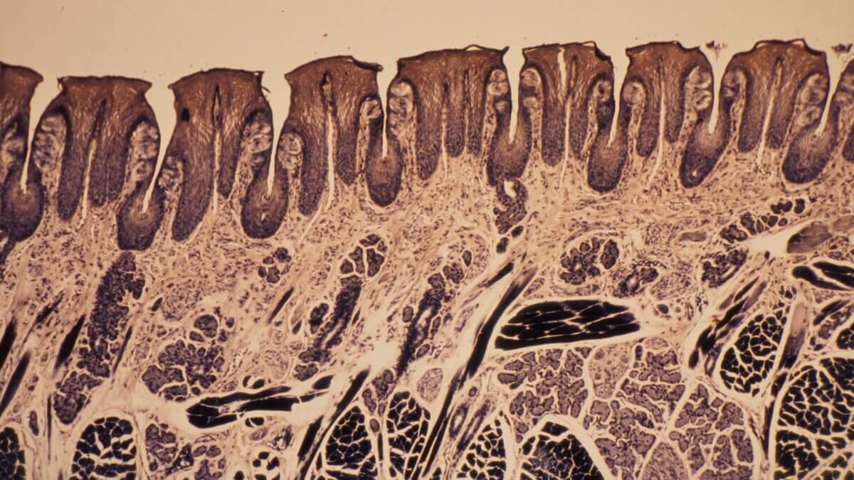
Histologie
Bei den Papillae foliatae handelt es sich um eine Gruppe vertikal verlaufender, paralleler Schleimhautfalten. In die Taschen zwischen den Falten münden die Ausführungsgänge seröser Drüsen (Ebner-Spüldrüsen). In den Wänden der Falten findet man die Geschmacksknospen. Jede Blattpapille enthält in etwa 50 Geschmacksknospen.
Die Innervation der Geschmacksfasern der Papillae foliatae erfolgt durch sensorische Fasern des Nervus glossopharyngeus.
Funktion
Die Papillae foliatae sind verantwortlich für die Geschmackswahrnehmung und können verschiedene Geschmacksqualitäten wahrnehmen.
Podcast
Bildquelle
- Bildquelle Podcast: © Michael Constantin P. / Unsplash
Quelle
- ↑ Thomas Hummel, Antje Welge-Lüssen: Riech- und Schmeckstörungen: Physiologie, Pathophysiologie und therapeutische Ansätze; Georg Thieme Verlag, 22.10.2008, S. 27