Bronchus
Synonym: Bronchie (Plural: Bronchien)
Englisch: bronchus
Definition
Die Bronchien sind Teil der Atemwege. Es handelt sich um röhrenförmige Strukturen in der Lunge, die von der Trachea ausgehen und die Luft in die Alveolen transportieren. In ihrer Gesamtheit bilden sie das Bronchialsystem.
Anatomie
Die Trachea teilt sich an ihrer Bifurkation in zwei Hauptstämme, aus denen jeweils die weiteren Äste des stark verzweigten Bronchialbaumes hervorgehen und für die Belüftung des rechten beziehungsweise linken Lungenflügels sorgen.
Aus den Hauptstämmen gehen auf der linken Seite zwei, auf der rechten Seite drei Lappenbronchien hervor, die mit den Lungenlappen korrespondieren und sich später in Segment- und Subsegmentbronchien weiter verzweigen.
Die Hierarchie des Bronchialbaumes gliedert sich wie folgt:
- Bronchus principalis dexter et sinister: Rechter und linker Hauptbronchus
- Bronchi lobares superior, medius (nur rechts), inferior: Oberer, mittlerer und unterer Lappenbronchus
- Bronchi segmentales - 10 rechts, 9 links
- Bronchi subsegmentales
- Bronchiolen
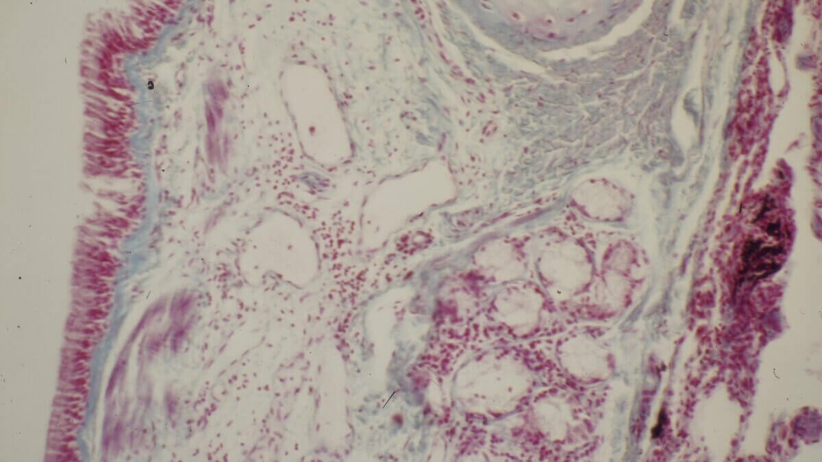
Histologie
Histologisch sind die Bronchialwände durch mehrreihiges respiratorisches Flimmerepithel, Drüsen (Glandulae bronchiales) und Becherzellen, endokrine Zellen, Knorpelringe (Hauptbronchien) bzw. -platten sowie glatte Muskulatur charakterisiert.
Radiologie
Im Röntgen-Thorax sind lediglich einzelne größere, v.a. orthograd getroffene Bronchien erkennbar. In der Computertomographie (CT) sind die Bronchialwände als tubuläre, sich nach peripher verjüngende Strukturen ersichtlich.
Podcast
Bildquelle
- Bildquelle Podcast: © Tj Holowaychuk / Unsplash