Segmentkerniger Granulozyt
Englisch: segmented neutrophil, segs, polymorphonuclear leukocytes
Definition
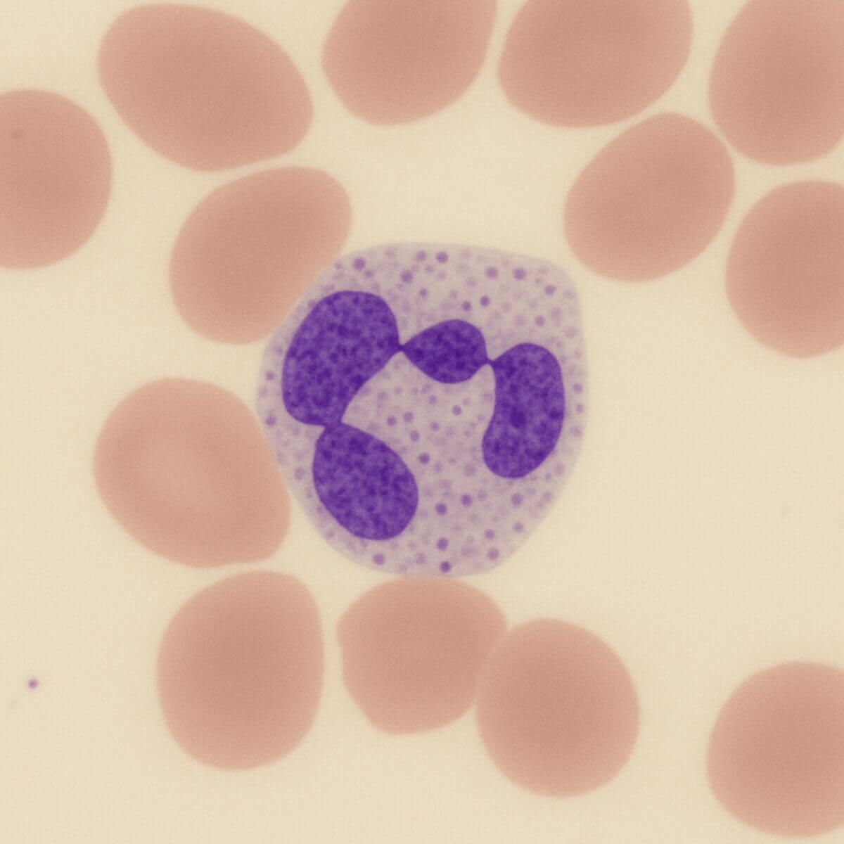
Segmentkernige Granulozyten sind eine Reifestufe der Granulozyten, die durch einen segmentierten Zellkern charakterisiert ist. Sie sind die im peripheren Blut am häufigsten vorkommende Form von Granulozyten.
Hintergrund
Segmentkernige Granulozyten sind die letzte Reifestufe der Granulopoese. Im Ablauf der Granulopoese sind sie nach den stabkernigen Granulozyten anzusiedeln. Ihr Anteil an der Gesamtzahl der Leukozyten beträgt 45-70%.
Morphologie
Der Durchmesser eines segmentierten Granulozyten beträgt durchschnittlich 9-16 μm. Der Zellkern liegt in 2 bis 5 Segmenten vor. Wenn mehr als 5 Segmente vorliegen, spricht man von einer Hypersegmentierung. Das Zytoplasma enthält spezifische Granulationen. Die Granula sind sehr fein und haben eine rötlich-violett bis bräunliche Farbe.
Labormedizin
Segmentkernige Granulozyten lassen sich mikroskopisch in einem Blutausstrich beurteilen. Man grenzt sie von den jüngeren, stabkernigen Granulozyten anhand ihrer Kernstruktur ab. Diese Einteilung kann anhand unterschiedlicher Regeln erfolgen. Man unterscheidet die Fadenregel und die Drittelregel:
- Nach der Fadenregel spricht man von einem segmentkernigen Granulozyten, sobald der Kern an einer Stelle fadenförmig eingeschnürt ist.
- Nach der Drittelregel liegt ein segmentkerniger Granulozyt vor, sobald der Kerndurchmesser an einer Stelle weniger als 1/3 der breitesten Stelle beträgt.
Je nachdem, welche Regel angewendet wird, ergeben sich unterschiedliche Referenzwerte.
Klinik
Die segmentkernigen Granulozyten sind ältere Zellen. Sie stehen zu den stabkernigen Granulozyten normalerweise in einem Verhältnis von rund 4:1 (Fadenregel) bzw. 12-15:1 (Drittelregel ). Wenn sich das Verhältnis zu Gunsten der stabkernigen Granulozyten verschiebt, spricht man von einer sogenannten Linksverschiebung. Im umgekehrten Fall liegt eine Rechtsverschiebung vor.
Eine Linksverschiebung im Differentialblutbild spricht für das Vorliegen einer Infektion.