Das Flexikon
als App
logo Einloggen
Bearbeiten
NEU: Log dich ein, um Artikel in persönlichen Favoriten-Listen zu speichern.
A
A
A

Teilen Zitieren Was zeigt hierher Versionsgeschichte Artikel erstellen Discord

Akanthom

Adam Tseichner
Student/in der Humanmedizin
Dr. Frank Antwerpes
Arzt | Ärztin
Natascha van den Höfel
DocCheck Team
Adam Tseichner, Dr. Frank Antwerpes + 1

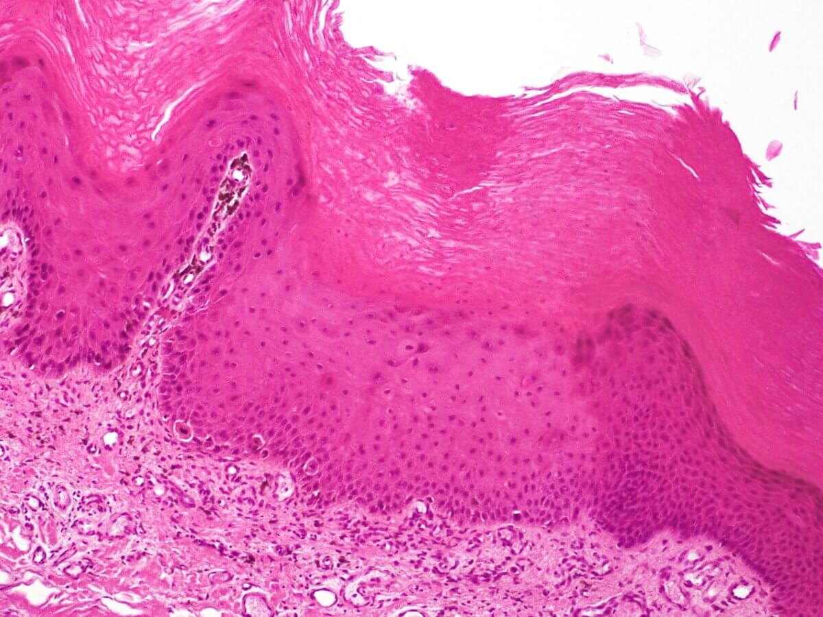
von altgriechisch: ἄκανθα (akantha) - Dorn, Stachel und -ωμα (om(a)) - Geschwulst, Tumor
Englisch: acanthoma

Definition

Ein Akanthom ist eine benigne Geschwulst, die von der Stachelzellschicht der Epidermis ausgeht.

Artikelinhalt ist veraltet? Hier melden
Stichworte: Geschwulst
Fachgebiete: Dermatologie
Diese Funktion steht nur eingeloggten Abonnenten zur Verfügung

Empfehlung