Barcode-Zeichen
Trainier deine Lernmuskeln!
Mit Flash Cards, Quiz und mehr
LoslegenEnglisch: barcode sign
Definition
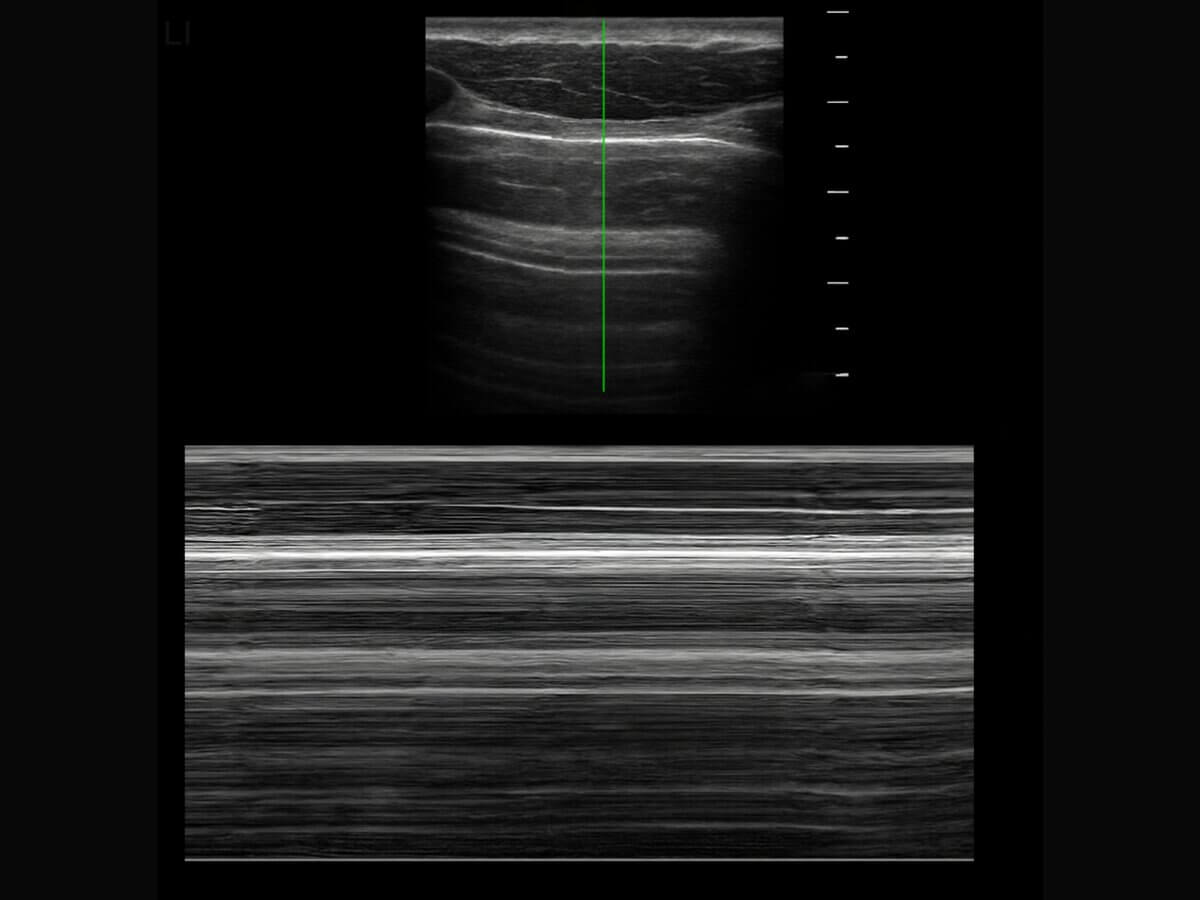
Das Barcode-Zeichen ist ein sonographisches Zeichen, das bei einem Pneumothorax im M-Mode des Lungenultraschalls sichtbar wird. Es ähnelt dem Bild eines Barcodes.
Hintergrund
Im Lungenultraschall liegt physiologisch das sogenannte Seashore-Zeichen vor. Die Haut, das subkostale Fettgewebe, die Muskulatur und Pleura parietalis sind als unbewegliche, parallel verlaufende Linien erkennbar ("Wellen"). Die Pleura visceralis und die Lungen bewegen sich physiologischerweise minimal, sodass sie sich als Rauschen darstellen ("Sand"). Somit ergibt sich das Bild einer Meeresküste.
Liegt ein Pneumothorax vor, fehlt das Seashore-Zeichen. Im Ultraschall kann in diesem Fall kein Lungengleiten festgestellt werden und im M-Mode ist ausschließlich eine Reihe an parallel verlaufenden Linien zu erkennen, die an einen Barcode erinnern.